![]() |
![]() |
![]() |
![]() |
![]() |
![]() |
How Many Implants for Failing Bridge?
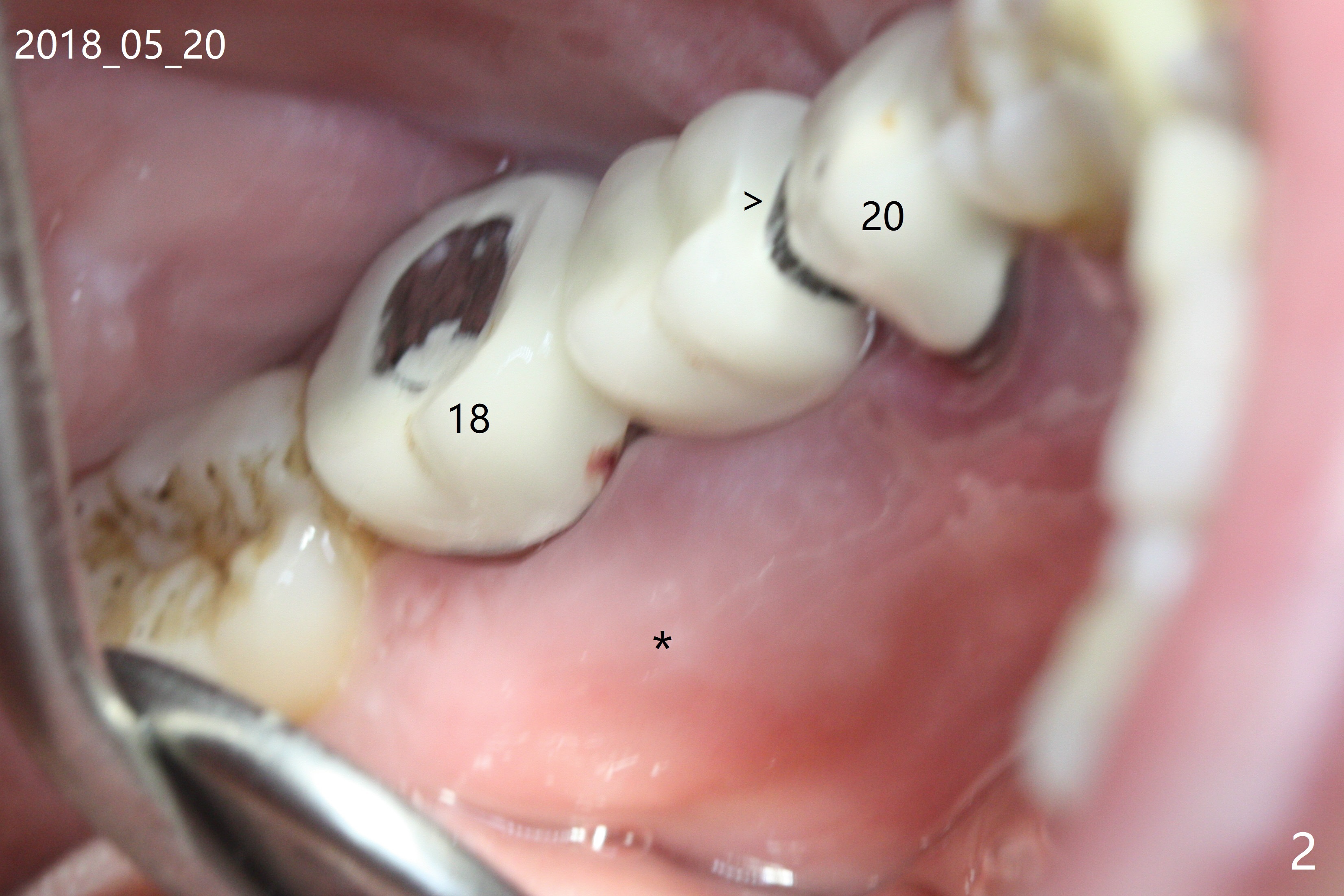
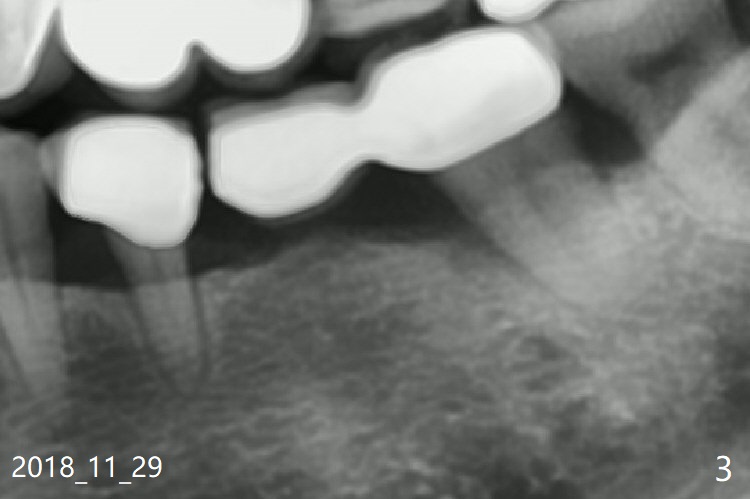
A 46-year-old woman had severe periodontal abscess lingual to #18-20 FPD a year ago (Fig.1,2 *). After SRP and Arestin placement #18 ML, the FPD was sectioned (Fig.2 >) to determine which abutment is to be extracted for implant. Since the sectioning, the patient has been unable to masticate on the left side (Fig.3). With removal of the FPD, CT is taken for surgical guide. Are the abutments salvageable (Fig.4,6)?
Return to
Lower
Molar Immediate Implant,
Prevent Molar Periimplantitis (Protocols,
Table),
Trajectory II,
No Deviation,
No Antibiotic
9-10
Xin Wei, DDS, PhD, MS 1st edition
07/06/2019, last revision
12/23/2019