![]() |
![]() |
![]() |
![]() |
![]() |
![]() |
Remake Lower Denture
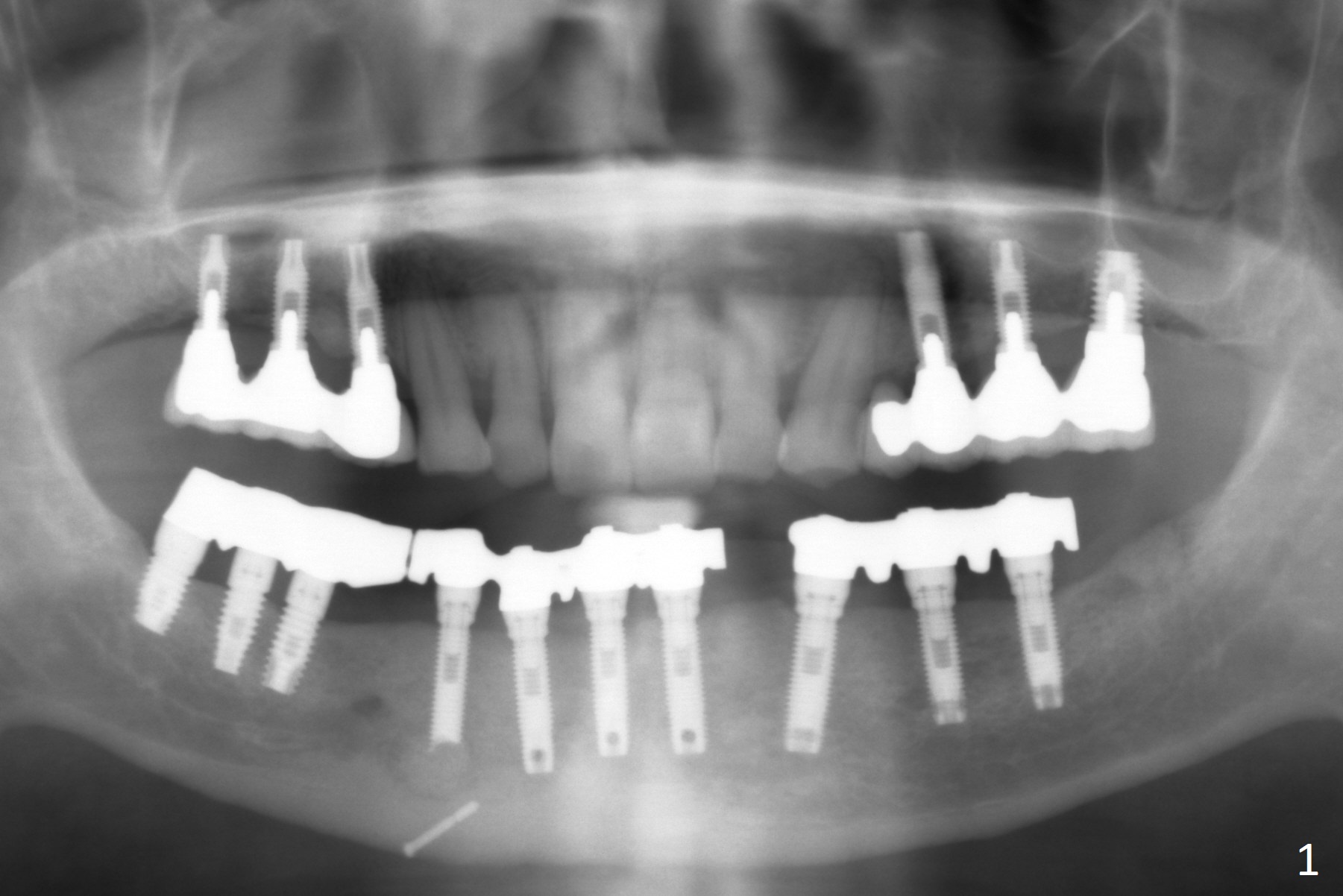
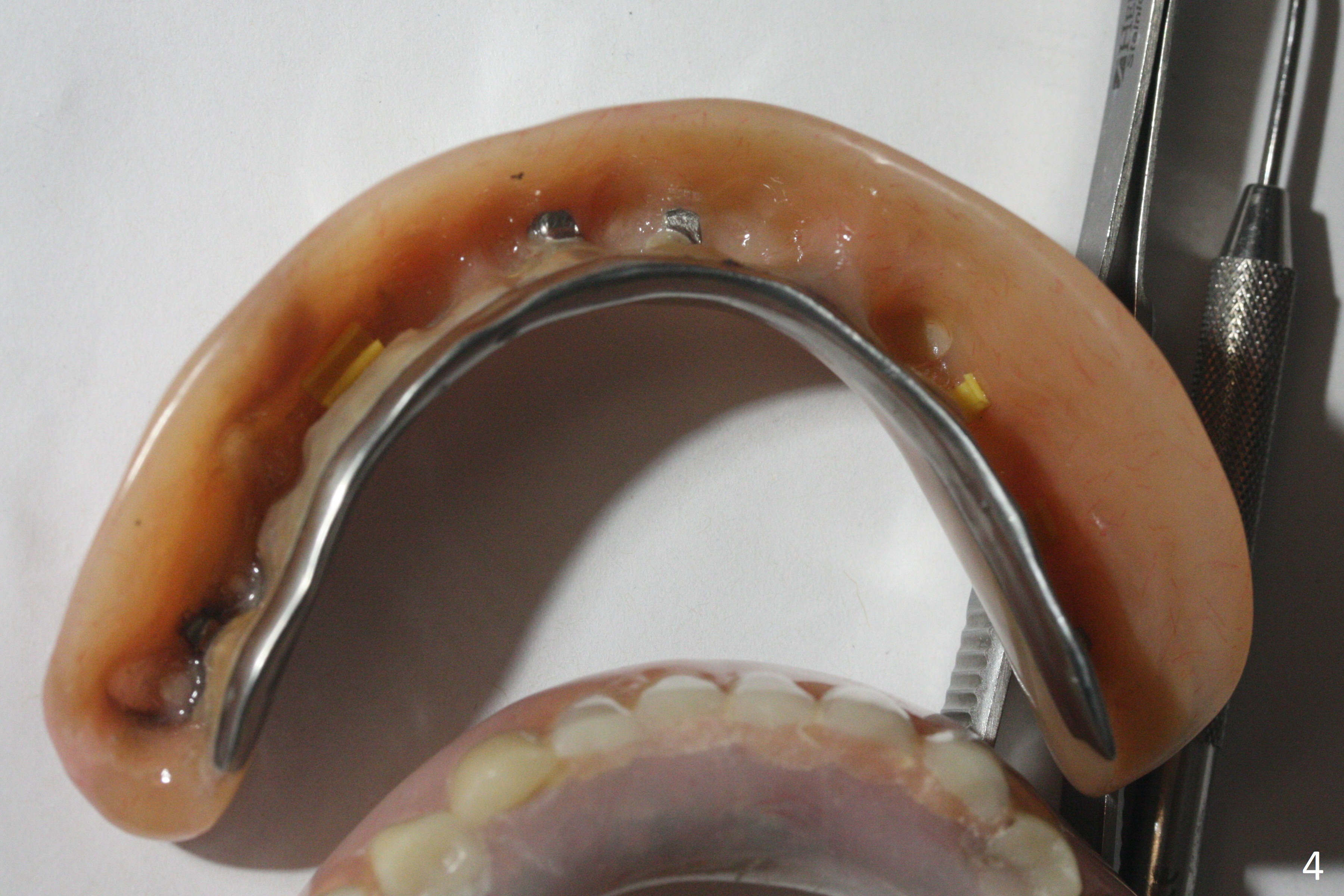
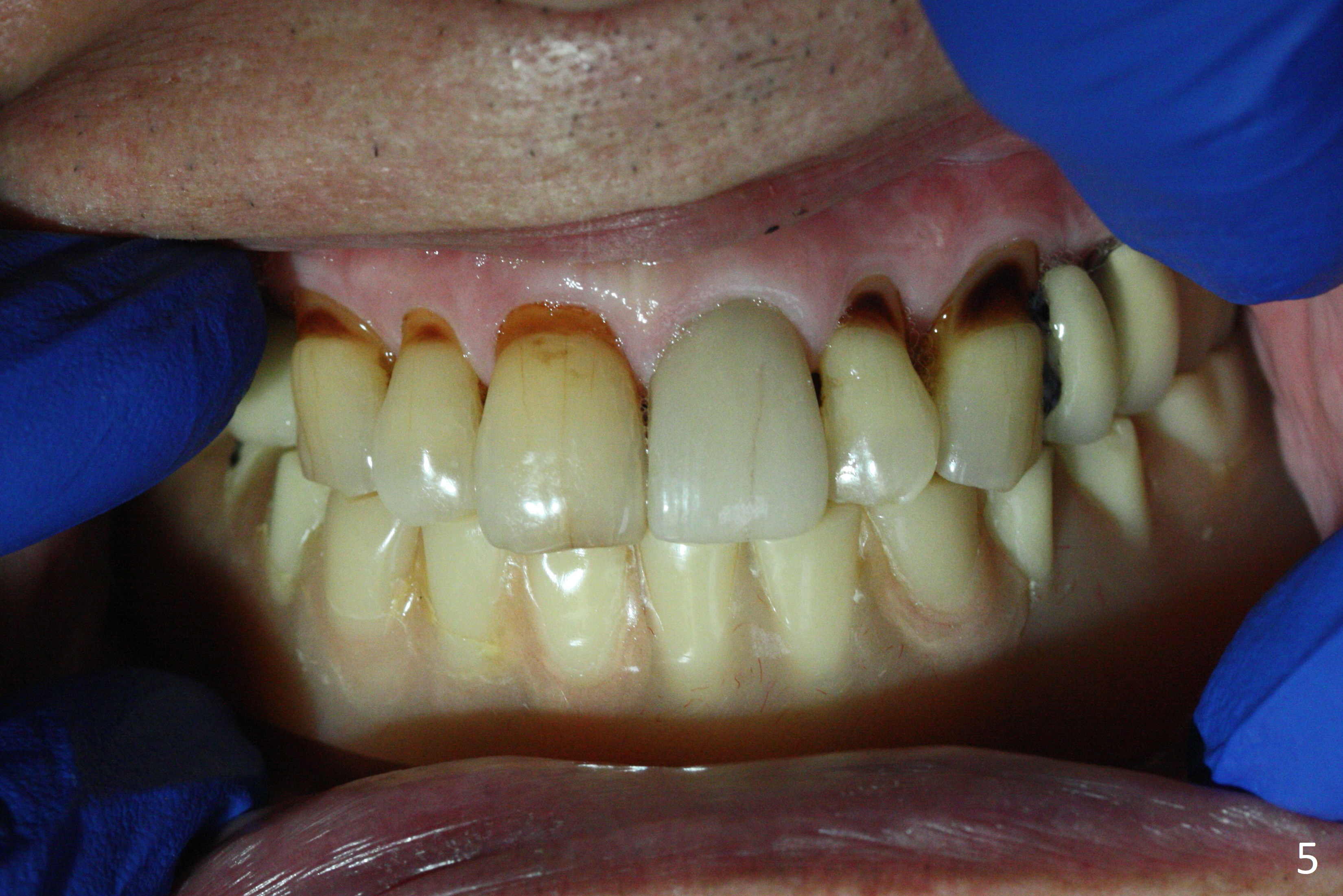
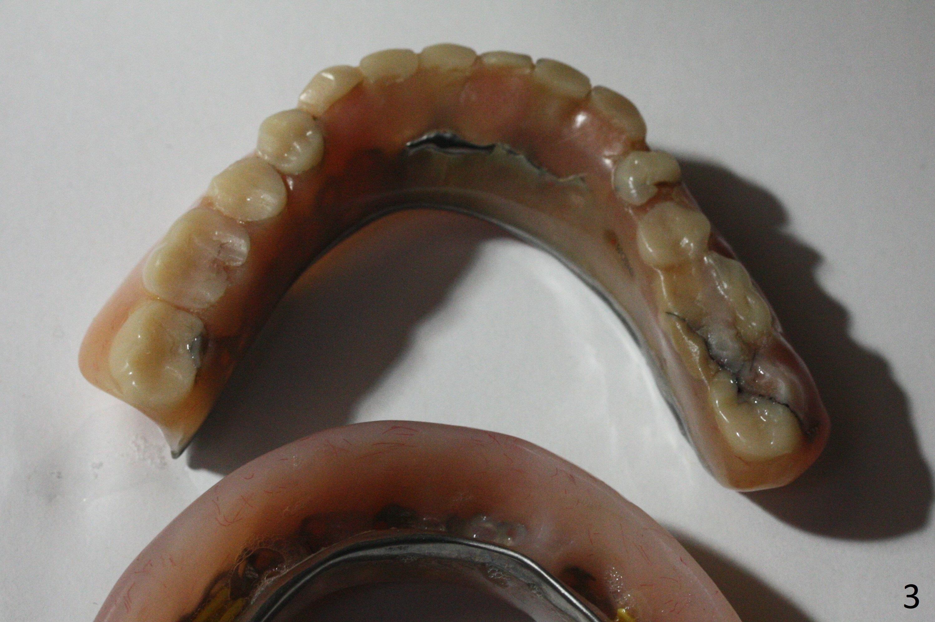
A 77-year-old man presents to clinic with chief complaint of loose lower denture, which is ~ 15 years old (Fig.1-6). The implants were placed ~ 30 years ago. There is wear and crack of the denture teeth (Fig.3). When the denture is remade, make metal occlusal surface at the premolar and molar region. An extra existing denture will be sent to lab for reference. What is the best method to take the lower impression? Block metal framework undercuts? Alginate or PVS?
Return to Lower Arch Immediate Implant
Xin Wei, DDS, PhD, MS 1st edition 12/21/2017, last revision 12/21/2017