![]() |
![]() |
![]() |
![]() |
![]() |
![]() |
![]() |
![]() |
No Guide No Implant
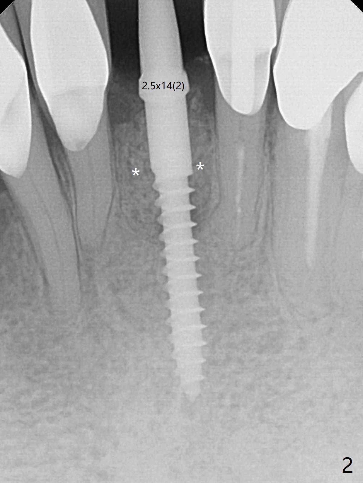
After extraction of the tooth #24 with vertical root fracture (loss of buccolingual plates), osteotomy is initiated with 1.2 mm drill free hand; the trajectory seems satisfactory (Fig.1). With sequential osteotomy, a 2.5x14(2) mm 1-piece implant has difficulty being placed deep (Fig.2), apparently associated with dense bone. Allograft is placed not only mesiodistal (Fig.2,4 *), but also buccolingual (Fig.3,5,6 *) to cover the exposed implant threads. In fact inability to place the implant deep is due to the apex of the implant (Fig.5,6 x) touching the lingual (L) cortical plate. If surgical guide were used, the implant placement difficulty would not occur. The surgery would be shorter and easier. The seemingly easiest implant placement should be assisted with a guide! In addition, preop CT would dictate implant placement in the middle of the socket buccolingual. The lingual (Fig.7 *) and buccal (Fig.8 <) gingiva remains bulky, although asymptomatic, 8 days postop.
Return to
Lower Incisor Immediate Implant,
Trajectory II
Xin Wei, DDS, PhD, MS 1st edition
10/22/2019, last revision
10/31/2019