![]() |
![]() |
![]() |
![]() |
|
![]() |
![]() |
![]() |
![]() |
|
![]() |
![]() |
![]() |
||
下切牙徒手植牙
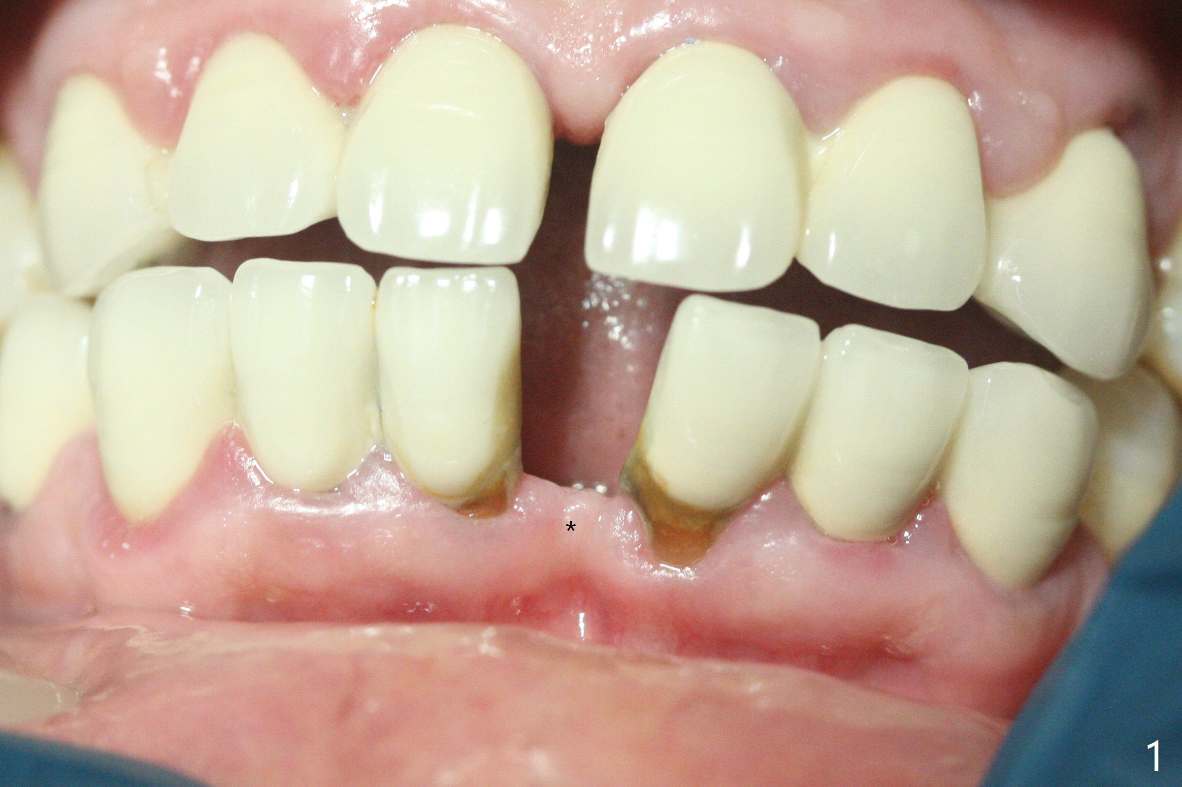
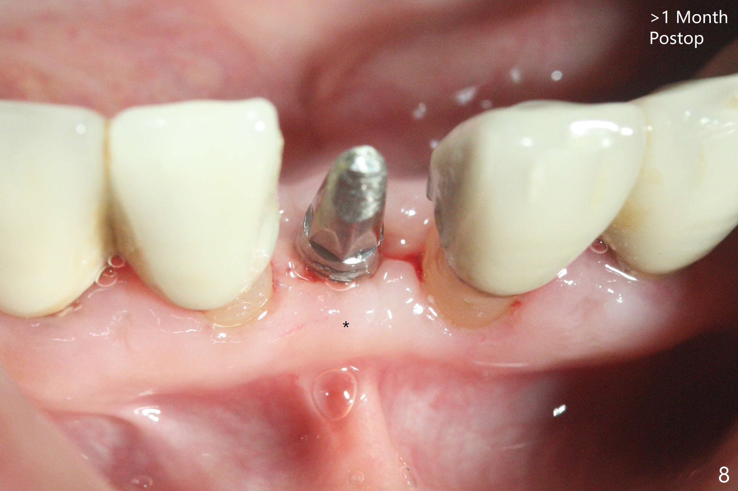
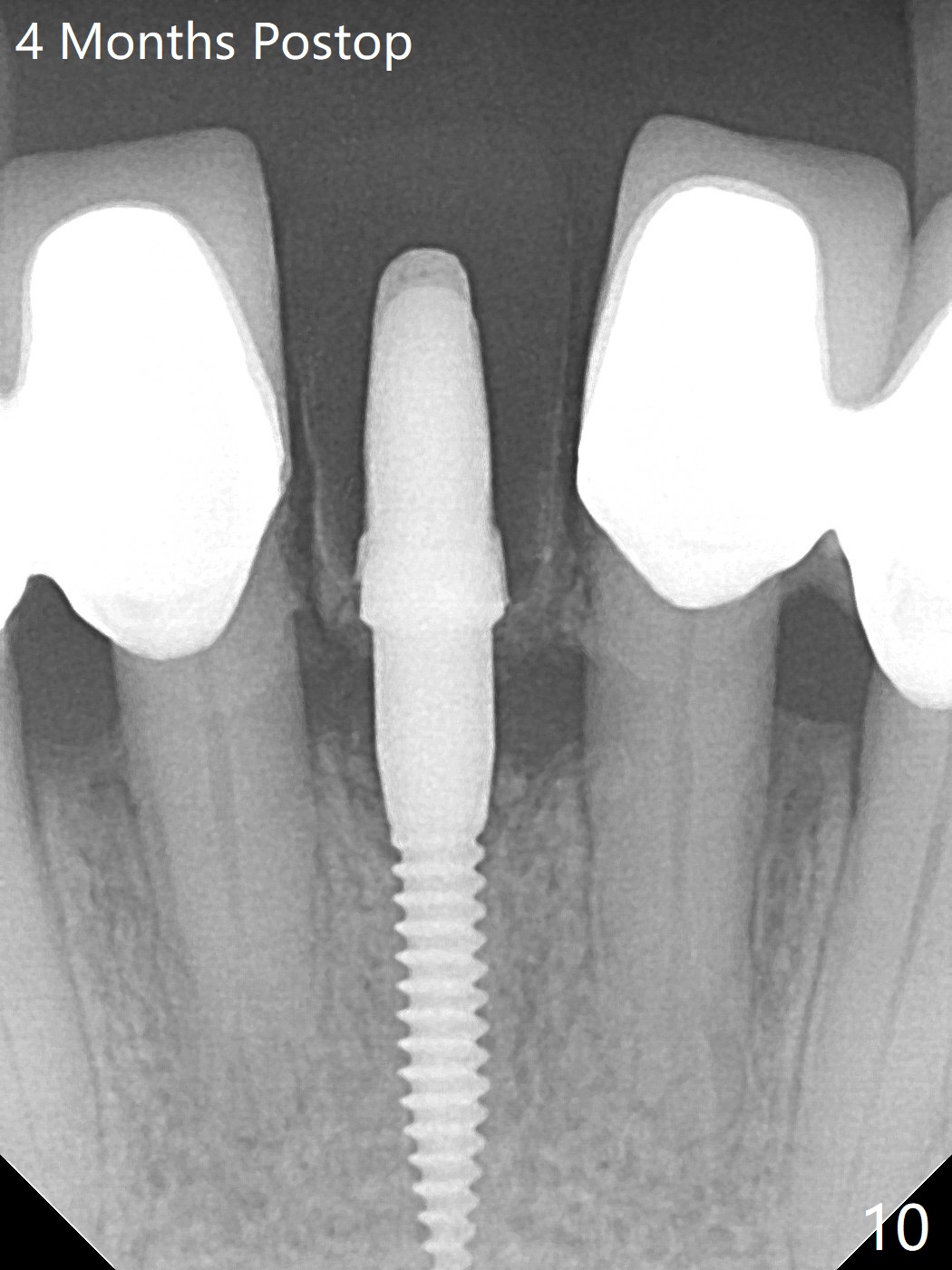
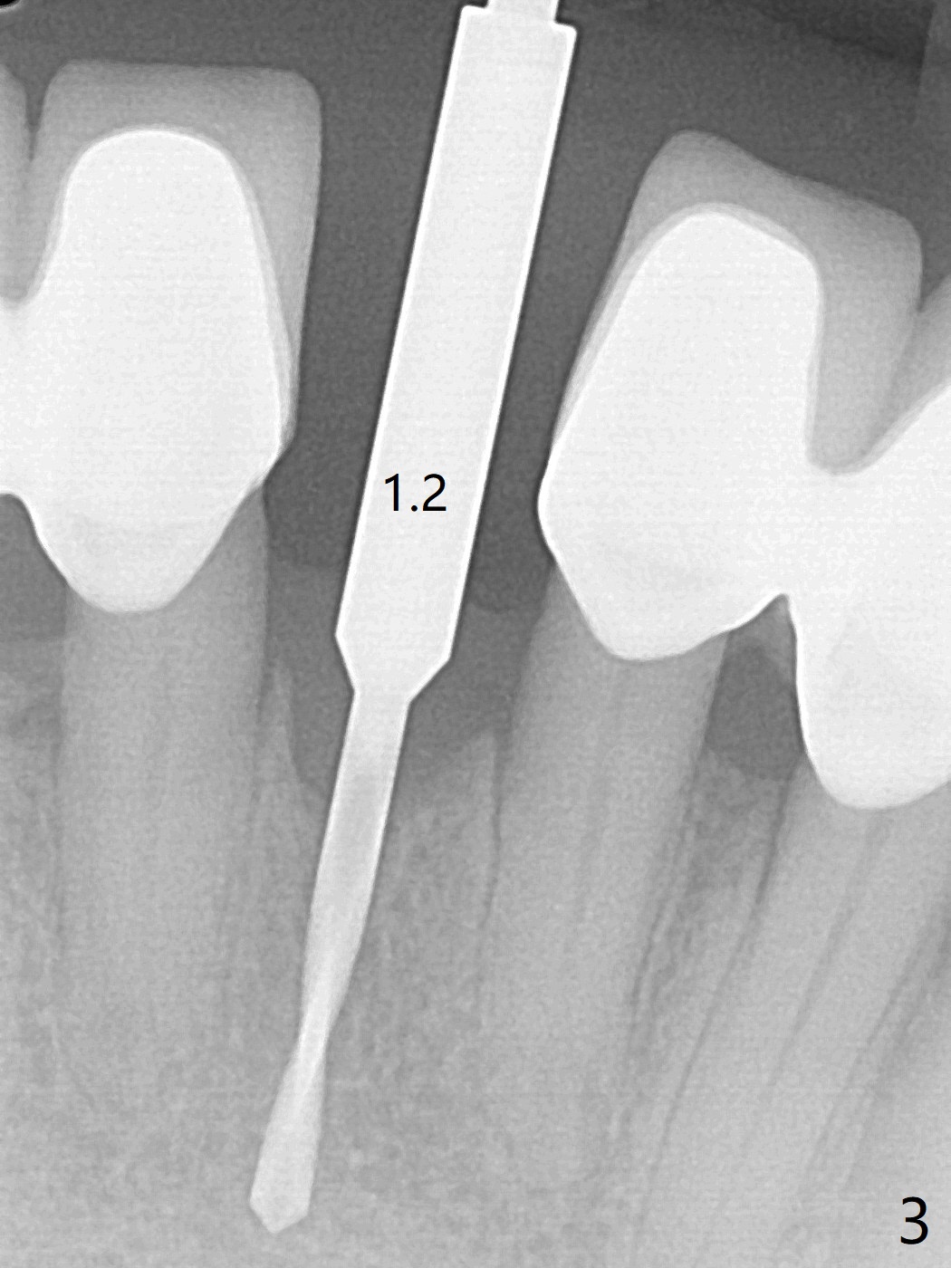
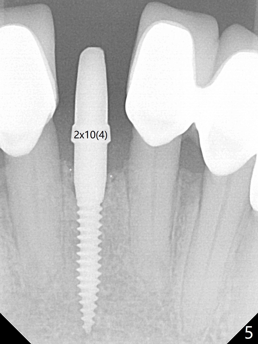
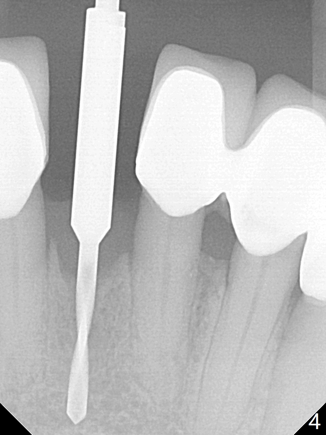
种植前与66岁女病人再次讨论下前牙正中种植可能产生不对称问题,她好像不在乎。术前检查显示下前牙正中间隙偏左(图一),处理似乎容易,但是牙槽嵴相当狭窄(图一 *,二 箭头)。牙槽嵴切除后(大约3 毫米宽(颊舌侧)),初期钻洞似乎偏移右边(图三),矫正后(图四),植入2乘10(4)毫米连体植体(图五,比预计小,因为骨质薄),放置骨粉(图五,六 *)和膜,缝合,制作即刻修复物(图七 T),病人满意,牙槽骨饱满了。术后一个多月临时牙冠取出修正,伤口愈合,由于植骨颊侧没有凹陷(图八),而舌侧隆起(图九:*,与图二术前对比)。其实病人不小心吃牛肉时损伤植体,疼痛几天。尽管最近吃饭时植牙又受伤,但是没有松动,也没有骨质吸收,就是局部结石多(图十,术后四个月)。正式牙冠术后4.5个月粘固(图十一)。
Lower Incisor Immediate Implant, No Deviation
Xin Wei, DDS, PhD, MS 1st edition 07/30/2020, last revision 12/17/2020