![]() |
![]() |
![]() |
2.5x14(2) mm Implant
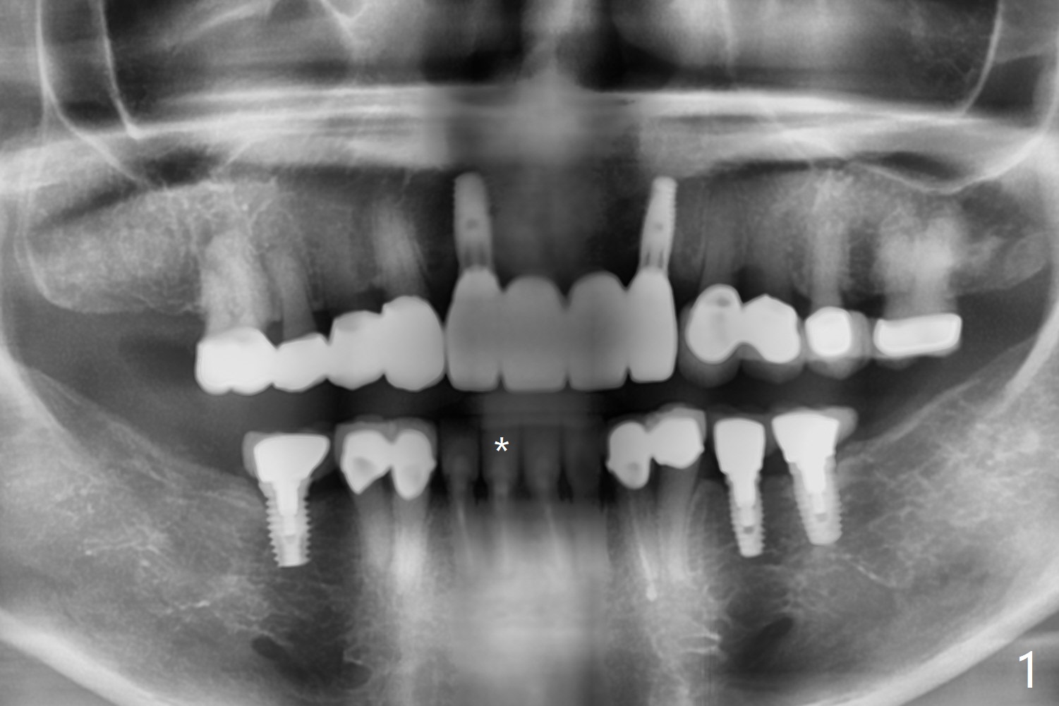
A 75-year-old woman with history of full mouth reconstruction requests implant for the tooth #25 with horizontal fracture with PARL (Fig.1-3).
Return to
Lower
Incisor Immediate Implant,
Trajectory,
Metronidazole
Existing Implants
Xin Wei, DDS, PhD, MS 1st edition
05/23/2019, last revision
05/29/2019