![]() |
![]() |
![]() |
![]() |
![]() |
![]() |
Short 2.5 mm 1-Piece Implant
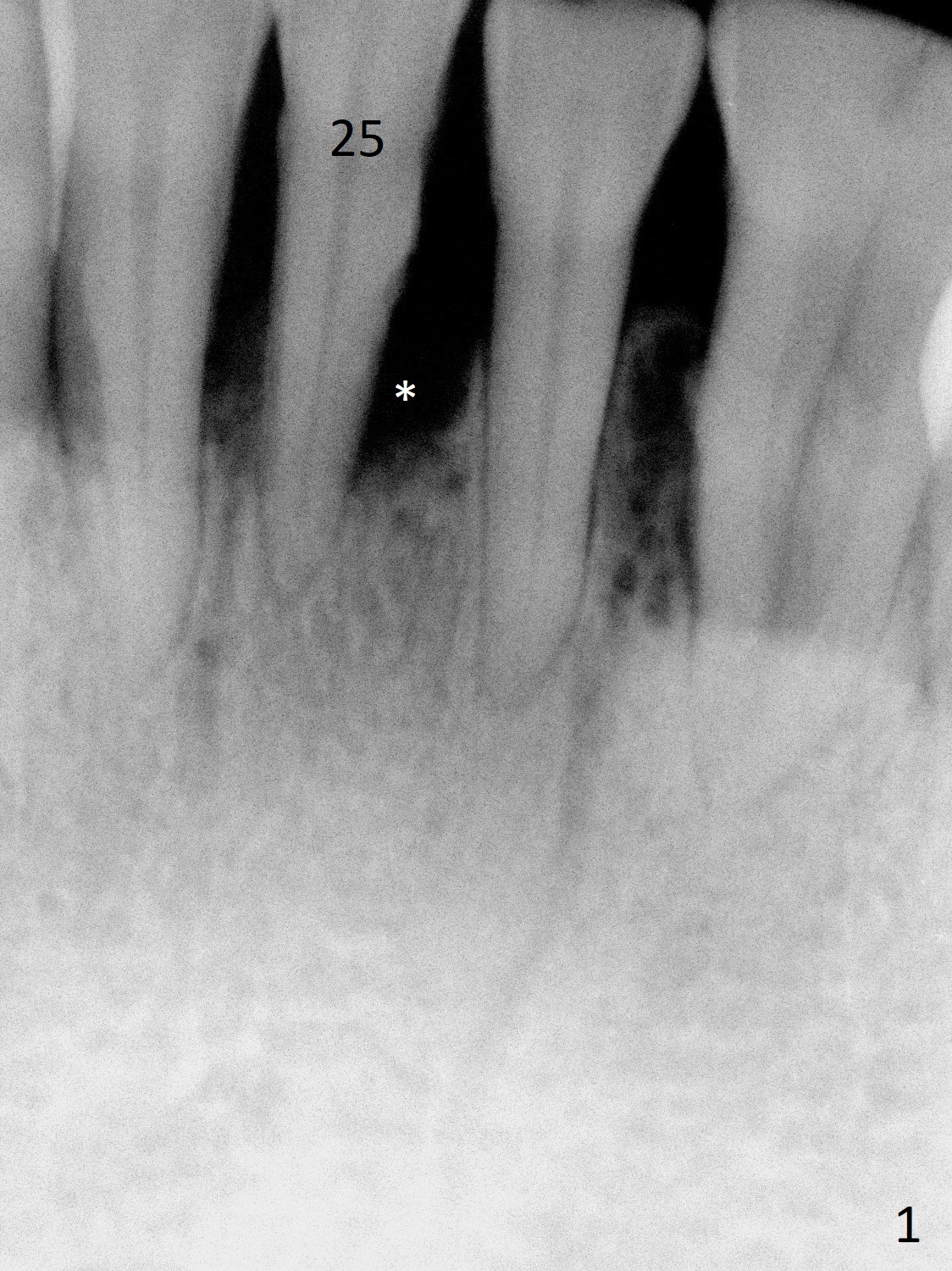
A 44-year-old woman has had bone loss at the tooth #25 for the last 4 years (Fig.1 *). Since the bone is narrow buccolingually (Fig.2 (CT coronal section)), a 1-piece implant with 2.5 mm in diameter is proper (Fig.3); but 12 mm in length makes the implant close to the lingual plate (Fig.2-4 L), with possible perforation. To avoid the latter, a shorter implant seems more appropriate for the site (Fig.5). Osteotomy is initiated in the apex with two fingers holding the buccolingual plates. Take PA preop. There is no buccal or lingual plate when the tooth is extracted; the socket bottom is flat buccolingually (Fig.6).
Return to
Lower
Incisor Immediate Implant,
Armaments,
Metronidazole
Xin Wei, DDS, PhD, MS 1st edition 11/12/2017, last revision 12/02/2018