![]() |
![]() |
![]() ![]() |
![]() |
托牙与植牙
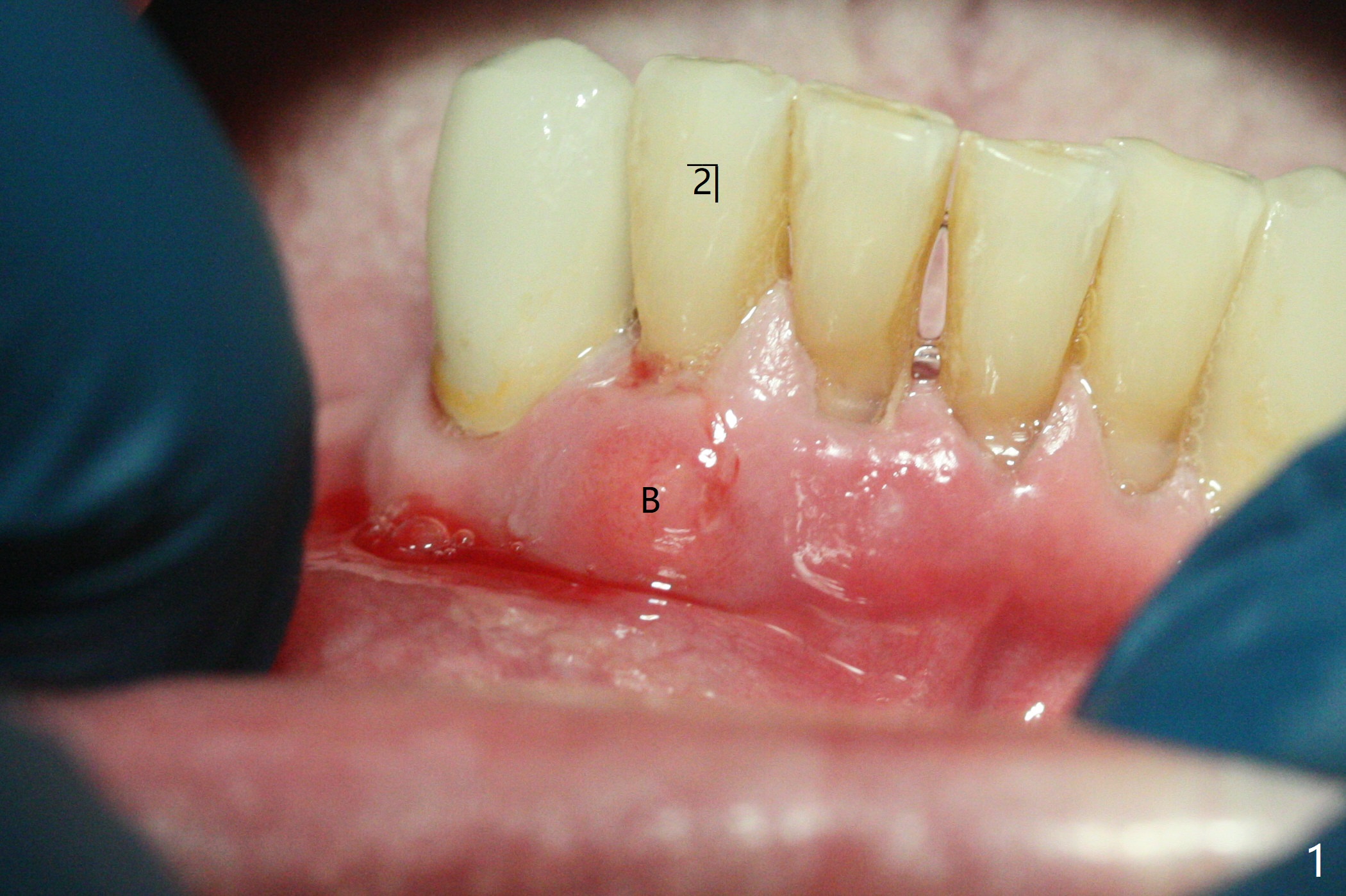
70岁男有上颌全口义齿,下颌局部义齿,后者由于右下切牙肿痛,松动无法戴入(图一至三),左下1骨质吸收严重,但是没有症状(图四)。理想治疗拔除右下1,2,即刻植牙,预防右下三断裂,不过病人没有思想准备,同意即刻植骨(图五,6个月吸收膜)。右下1舌侧,2颊侧脓肿(图一,二),拔牙时发现相应骨质缺损严重。四个月后在右下2植牙,做悬臂桥。当左下1不行时,做单个植牙,这样病人至少可以暂时使用局部托牙。
Return to
No Deviation
Xin Wei,
DDS, PhD, MS 1st edition 08/31/2020, last revision
08/31/2020