![]() |
![]() |
![]() |
综合治疗进展
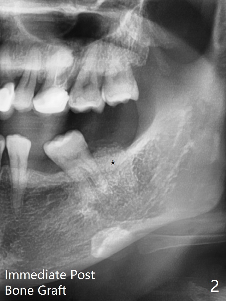
39岁女渴望有一个正常19号牙(图一),第一步,17号牙拔除,粘性骨粉植骨(图二:*),PRF覆盖,树脂敷料。后者术后八天由于倒凹(图三:^),稳定,下面(*)骨粉谅必安居乐业。术后一两个月(伤口愈合,18号牙牙冠远中面充分暴露)后,准备口扫做局部矫正(Clear Aligner),竖直18号牙,植骨有利于18号牙进入17号牙牙槽窝。然后再口扫制作19号牙种植导板。
Return to Protect Graft Plug Xin Wei, DDS, PhD, MS 1st edition 05/12/2021, last revision 06/25/2021