![]() |
![]() |
![]() |
|
![]() |
![]() |
![]() |
|
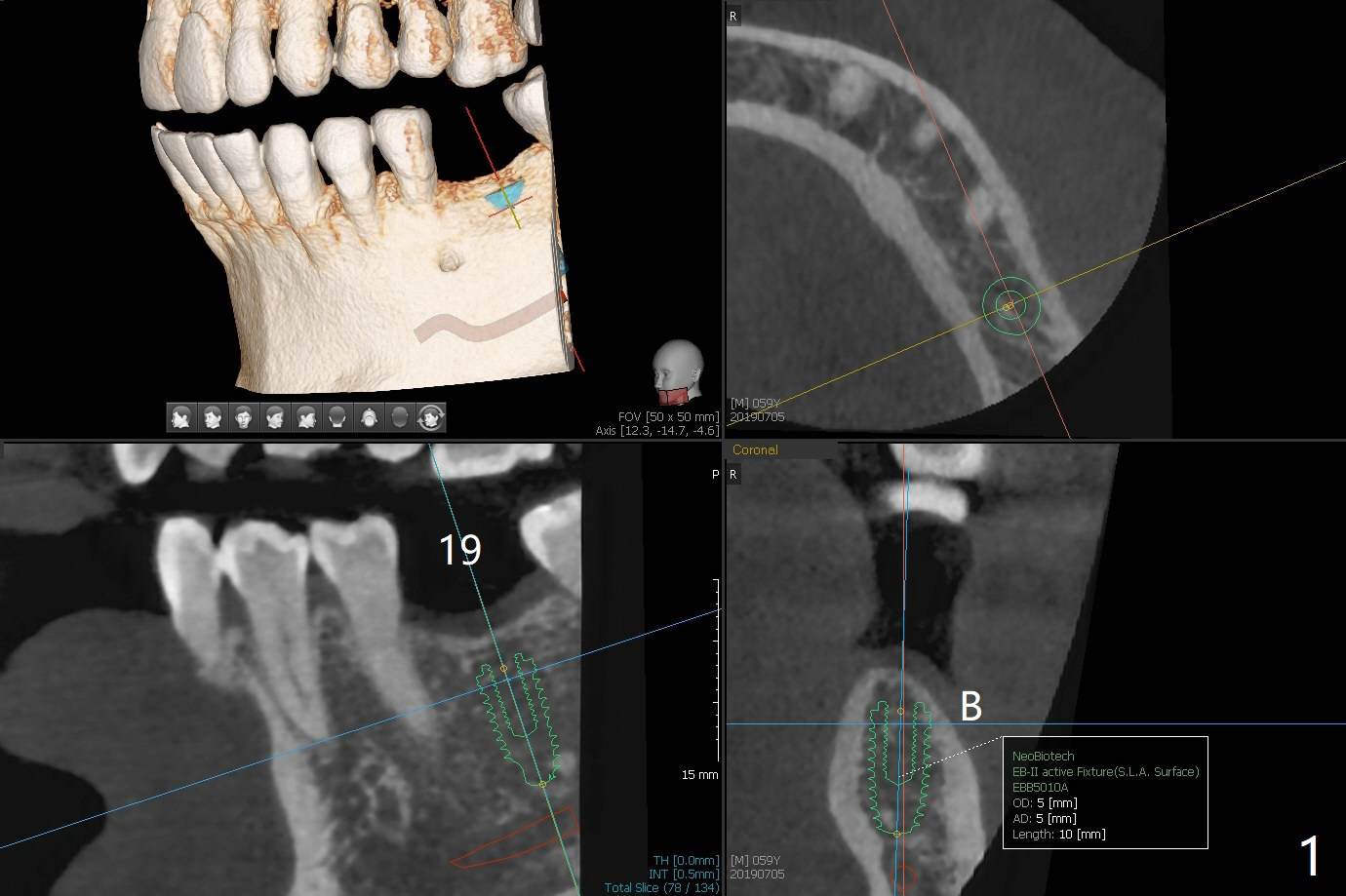
5x5 cm Field of View
A 59-year-old man has lost the tooth #19 for 30-40 years. Although the tooth #14 has supraerupted for ~ 2mm, there is enough vertical space for restoration (Fig.1), probably related to vertical bone loss. Use tissue-level implant (4.5x14 mm) to reduce screw loosening. Prepare a 4x5 or 3 mm unipost preferably with a precut groove to hold periodontal dressing in place. Return to Lower Molar Immediate Implant, Trajectory II Xin Wei, DDS, PhD, MS 1st edition 07/05/2019, last revision 08/13/2019