![]() |
![]() |
![]() |
|
Calculus vs. Bone Loss I
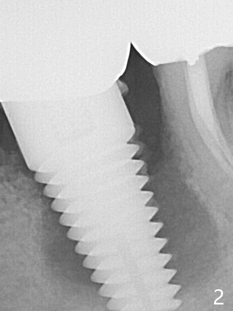
There is calculus formation in the threads of the implant removed (Fig.1), as related to bone loss (Fig.2). Sticky bone is placed, followed by 2 pieces of PRF membranes, 4-0 PGA sutures (Fig.3) and periodontal dressing.
Return to
No Deviation
Reimplantation
Xin Wei, DDS, PhD, MS 1st edition
03/09/2020, last revision
07/18/2020