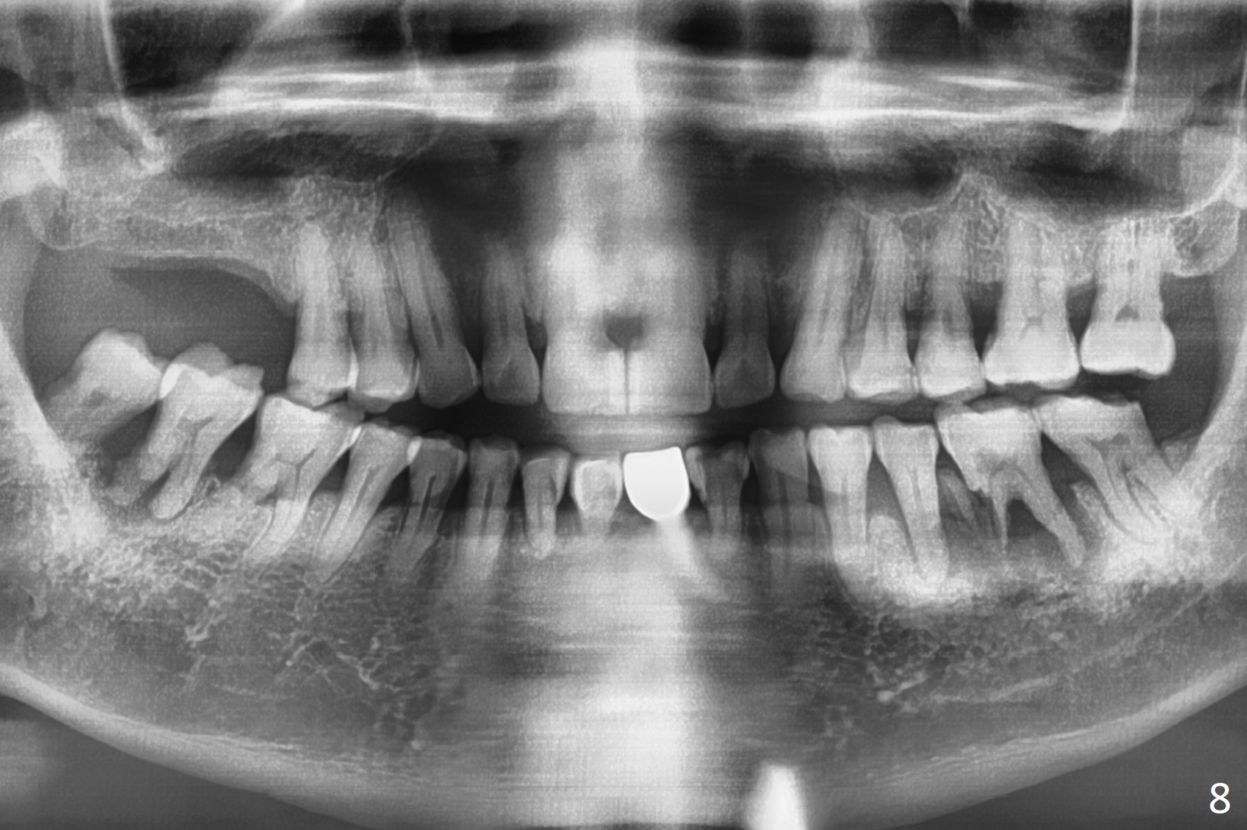
Bone loss (Fig.8) is more severe than 5 years earlier.

Resorbed Septum Last Next

Xin Wei, DDS, PhD, MS 1st edition 12/30/2017, last revision 08/11/2018