![]() |
![]() |
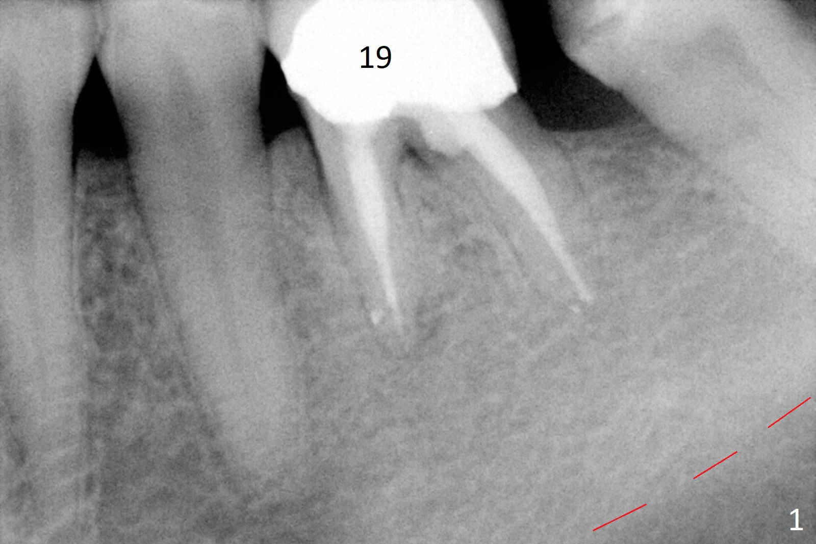
Bone Loss Associated with Residual Roots
A 50-year-old man will return for #19 implant placement following the one at #30. In the last 9 years, the tooth have broken down with formation residual roots and loss of one of them (Fig.1,2). More important is the coronal portion of the alveolar bone becoming apparently thinner (Fig.2 *). There is also bone loss associated with the neighboring tooth (arrow). It is expected that the implant to be placed will be narrower and/or shorter than the one at #30. After removal of the distal residual root, use Magic Split as a scalpel to extend an incision mesially and start bone expansion, followed by Magic Expanders and IS drills if needed. Take preop photos to show the atrophic mesial ridge.
Return to Lower Molar Immediate Implant, Prevent Molar Periimplantitis (Protocols, Table), Armaments, No Antibiotic Xin Wei, DDS, PhD, MS 1st edition 11/19/2017, last revision 09/02/2018