![]() |
![]() |
![]() |
![]() |
Tatum Implant for Reduced Abutment Screw Loosening
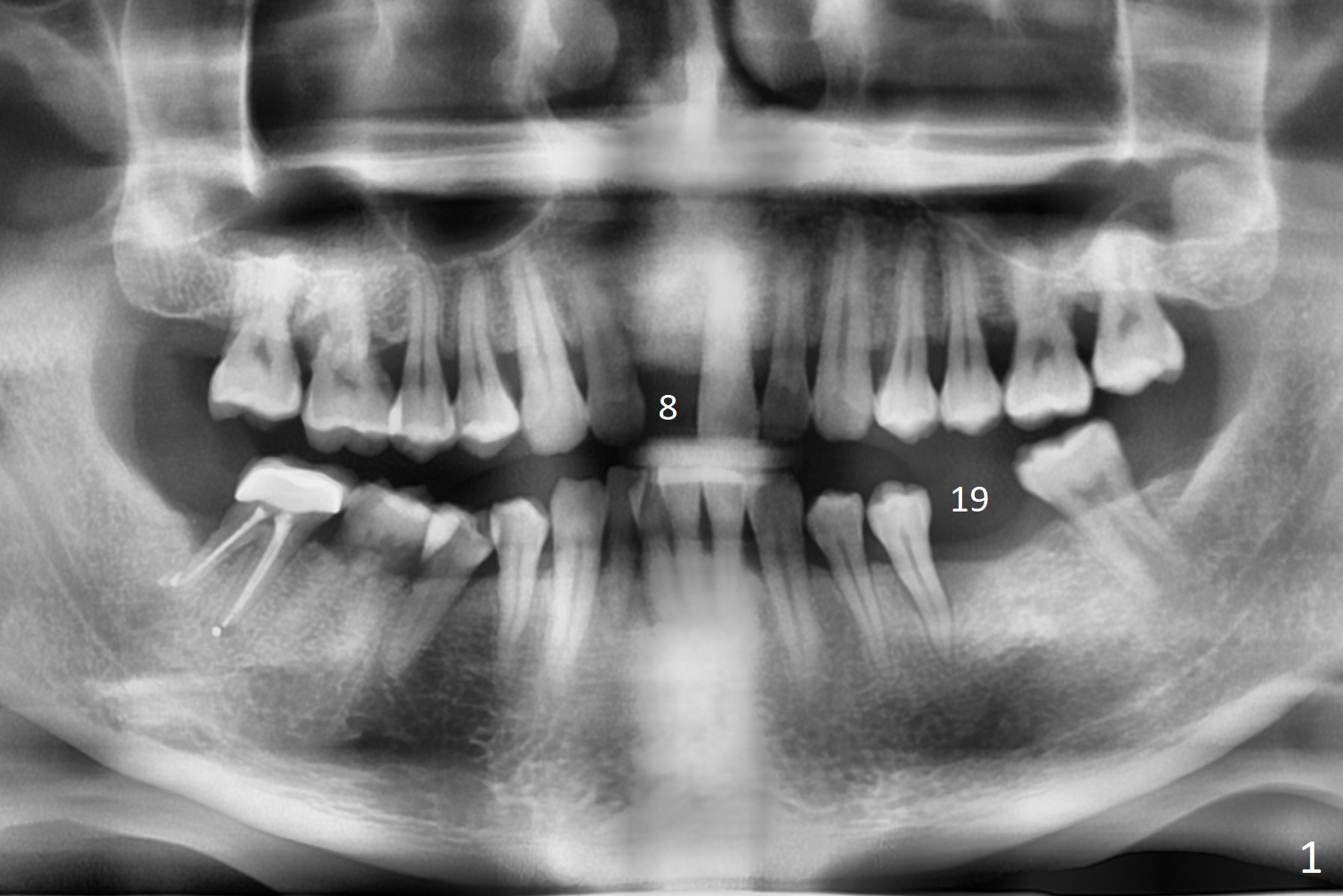
A 50-year-old man loves chewing bone and crab leg. The tooth #19 was extracted due to fracture 1.5 years ago (Fig.1). To reduce abutment screw loosening, IS guide will be used to create osteotomy, while a Tatum implant will be place initially with the guide (Fig.2). There appears no screw loosening associated with Tatum implants. The ridge at #8 is atrophic; a 2.5x10 mm Mini-implant will be placed palatal (Fig.3). The mesiopalatal defect (Fig.4 (lingual view) *) will be bone grafted after implant placement. Incision will be made after the 1st drill for access. The guide will be made with gingival clearance. A piece of 6-month membrane will be cut with a hole buccally to cover the bone graft and slide through the implant.
Return to
Lower
Molar Immediate Implant,
Trajectory
II
Xin Wei, DDS, PhD, MS 1st edition
06/25/2019, last revision
08/08/2019