![]() |
![]() |
![]() |
![]() |
Lingual Overprep I
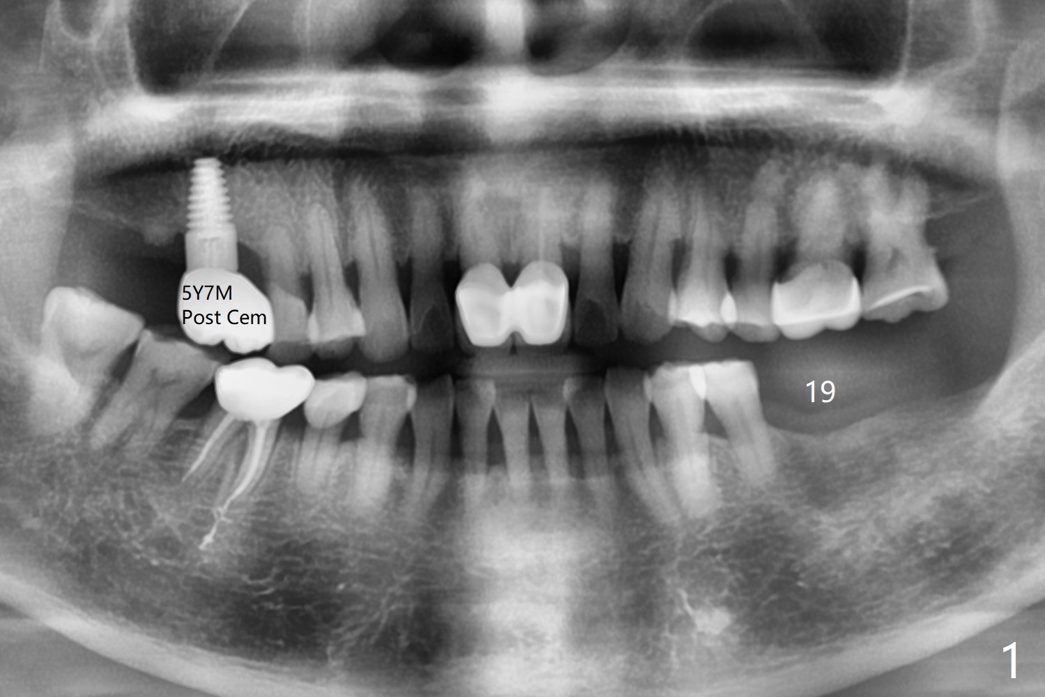
A 74-year-old woman returns for #19 implant consul-tation 5 years 7 months post cementa-tion at #3 (Fig.1). Since the implant at #3 (6x14 mm) has less ideal trajectory associated with free hand placement (Fig.3 (mild distolingual (L) thread exposure; Fig.1,4 (distal placemennt), guide will be fabricated for #19 implant placement. The lingual plate is thick and dense (Fig.2 L). To prevent drill and implant deviation buccally, a 5x11.5 mm implant will be placed as lingual as possible. A 5 mm cortical drill will be used before 2.2-4.5 mm ones being used for depth. The 4.0 mm drill will reach the final depth (apical underprep). A 17 mm long tissue-level implant will be placed. 17-5.5=11.5 mm (thread portion); 1.2 mm drill tip for the rough surface. Prepare 3.5x14 or 17 mm dummy implant to test the depth.
Return to
Lower
Molar Immediate Implant,
No Deviation
Xin Wei, DDS, PhD, MS 1st edition
12/20/2019, last revision
05/31/2020