![]() |
![]() |
![]() |
Profile Drill
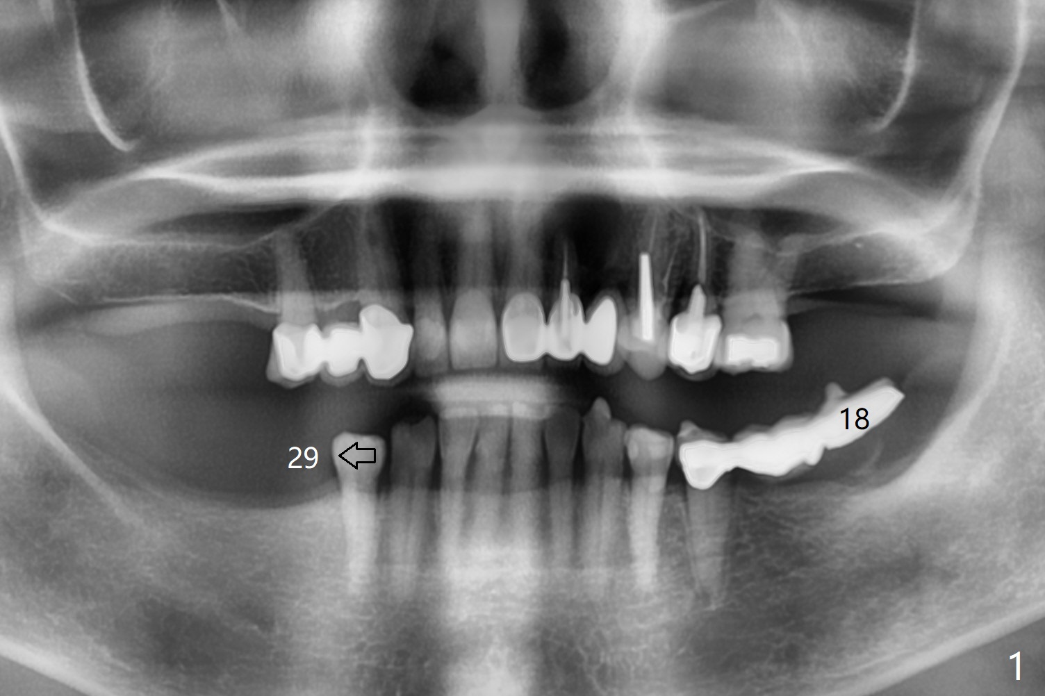
A 73-year-old woman has interest in implants at #19 and 29 (Fig.1). The ridge is not even, higher mesio(*)lingually (L, Fig.2,3). After implant placement, use profile drill (5.5 or 6.0 mm) to facilitate healing abutment placement.
Return to Lower Molar Immediate Implant Trajectory II Xin Wei, DDS, PhD, MS 1st edition 10/17/2019, last revision 10/24/2019