导板预防神经损伤

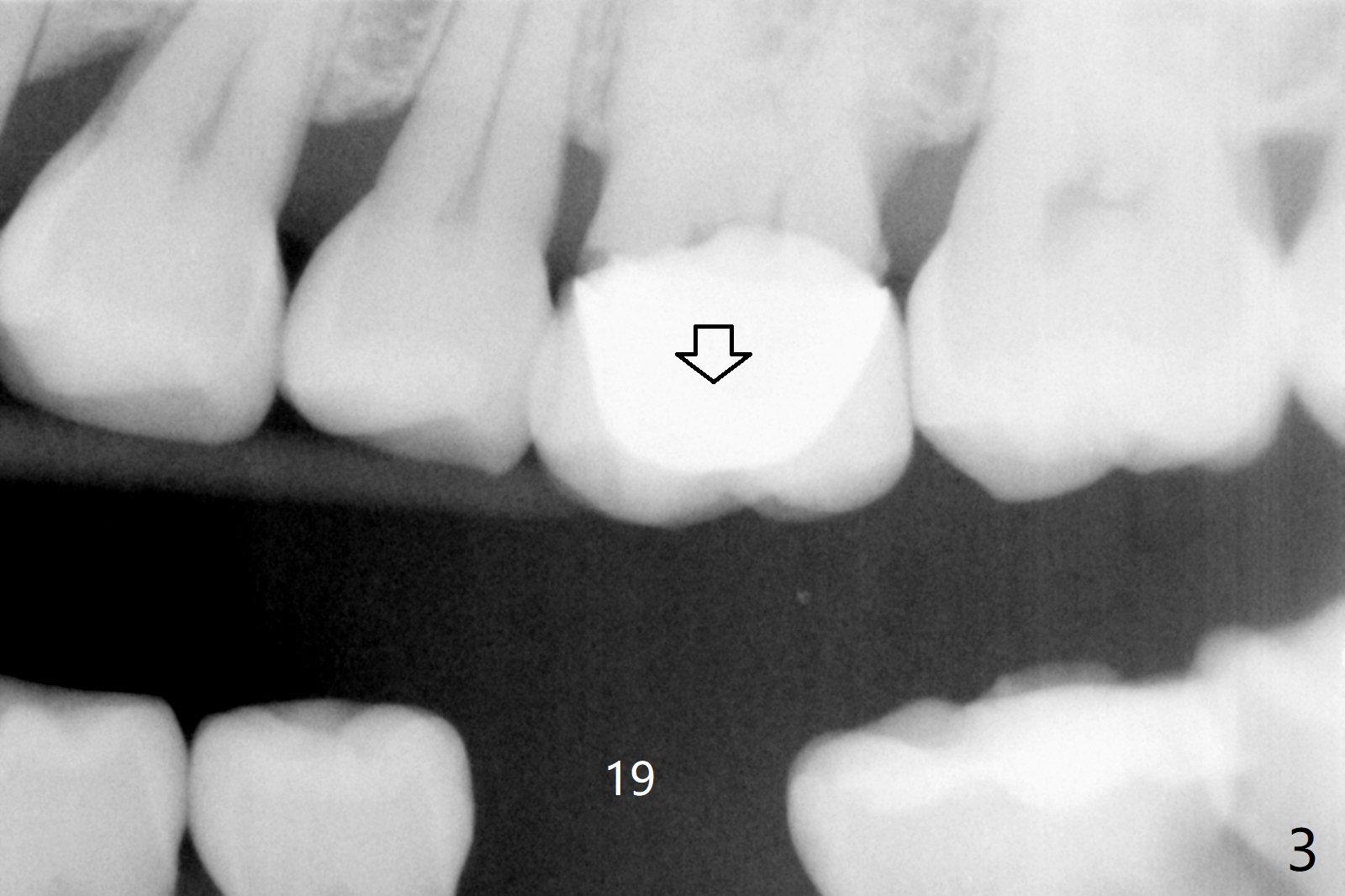
56岁女右上6植牙4年,牙冠松动两次,基台断裂一次,一直不肯做左下6植牙(图一,二,四),对合牙长长(图三:箭头;图五),因为害怕神经(图一:红虚线)损伤,导板已经介绍。IBS No Caries Xin Wei, DDS, PhD, MS 1st edition 11/20/2020, last revision 11/22/2020