![]() |
![]() |
Guided Surgery in Stage
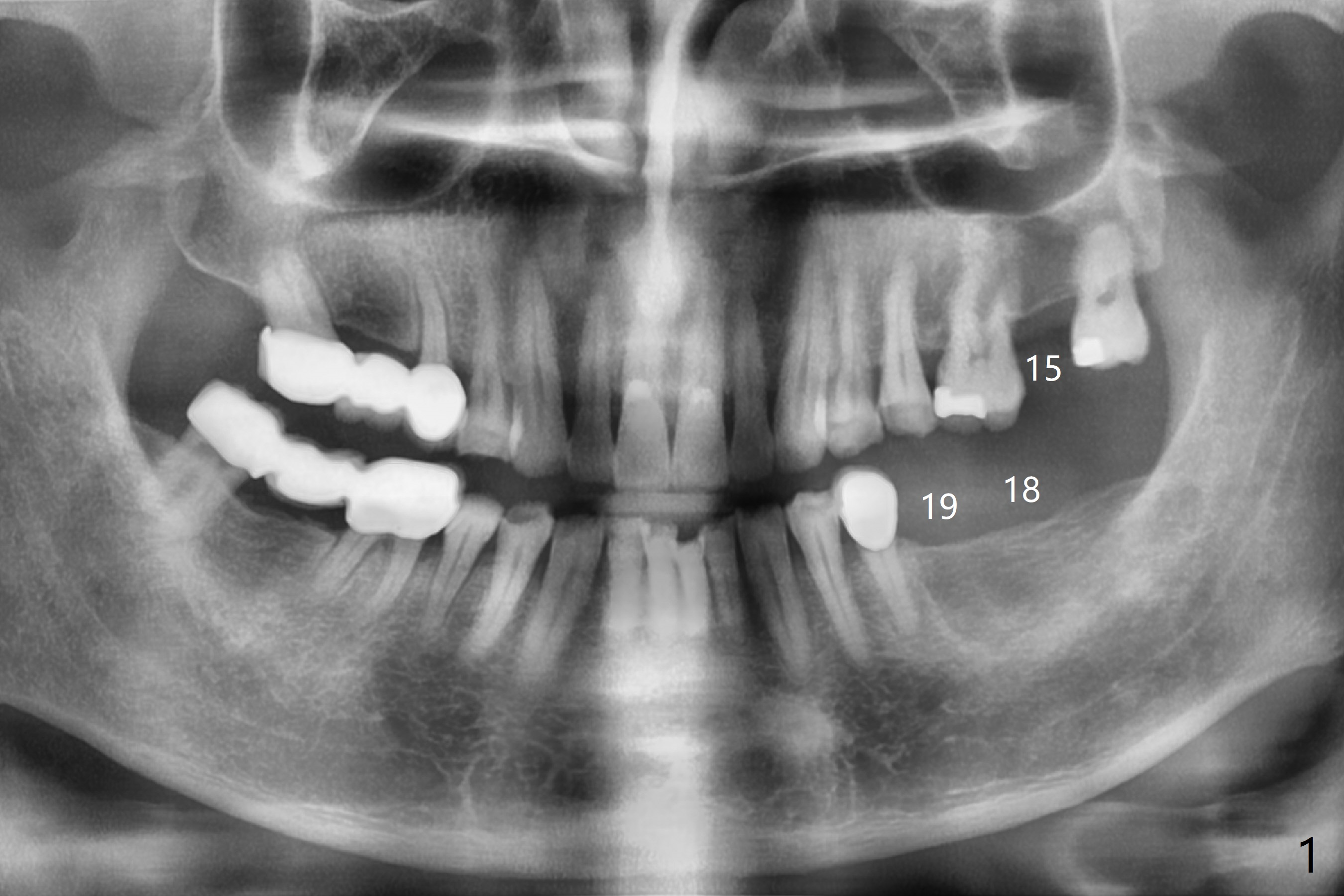
A 69-year-old man has 3 missing teeth: #15, 18 and 19 (Fig.1,2). He wants an implant at #19 first. A guide will be fabricated for #18 and 19 first. If he wants to have an implant at #18 later, the crown/abutment at #19 will be removed and an implant anchor will be used at #19 for #18 guided surgery. The upper model will remain or be resent to the guide lab for #15 guide if needed.
Return to
Upper
Lower
Molar Immediate Implant,
Armaments
Xin Wei, DDS, PhD, MS 1st edition 04/30/2018, last revision 11/12/2018