Dislodgement in China

I just forward my wife's email to you.  Unfortunately her planted tooth got off from the foundation (Fig.1,2 (7 months post cementation)).  We have visited several clinics in Beijing.  They do not have the tool to handle it because the model you used is not popular in Beijing.  Would you like to lend your tool to us? We will send it to you once repair is done.  December 1, 2019, 07:37:14 AM EST

I am so sorry to hear your misfortune. Most doctors do not like to take over a case of somebody else. The problem may not be so difficult to solve. It is the best to see a private dentist with experience in implant. The instrument to be used to tighten the crown/abutment is the most popular (universal) in the world. It is called 1.2 driver. We do not mind sending you one, but it takes time. It would be the best to place the crown/abutment as soon as possible. Ask the doctor to open up a hole in the middle of the crown, try to use his/her most often used driver to match the screw, tighten the screw at 30 Ncm and retighten it at 35 Ncm in 10 minutes or in a few days. Finally adjust occlusion. I am afraid that I had written down the procedure before your wife left my office.  Dec 1 at 9:43 AM

丽霞:牙冠和基牙脱落是一种保护机制,可能咬合压力太大,拧紧后,经过合适调整,还能使用很久。尽管以后没事,也应经常看牙医,进行适当维护。 而我们牙齿有另外一种保护机制,它压力大,加上坏了,就断了,需要拔除,也麻烦。刚才试图与你电话联系,知道心里着急,但愿你顺利.  

Dec 1 at 10:44 AM

Lixia:
Can you ask Neobiotech to recommend a dentist in Beijing?
The final abutment used in my office is called Cemented abutment: 6.5x5.5(5) mm. 6.5 diameter, 5.5 mm abutment length, 5 mm cuff length or height.   Since the tooth had been lost for long time, your bone loss was severe. The abutment screw has higher chance of being loosened.
If the dentist cannot place the cemented abutment temporarily, use a healing abutment, smaller in diameter, but length longer first. For example, 5x6 mm. Gradually use the one with larger diameter.
Good luck. 

Dec 1 at 8:23 PM
魏医生您好!
我上周拿到工具后装上了基台和牙冠,35扭力,可当晚就疼痛,半边脸肿大,第二天看医生,说是必须取下来,挤出一些脓,对牙床做了一些处理,没有临时的东西可以放在植体里的,因不配套。吃了几天阿莫西林,现在还有些疼痛,所以暂时不能把工具退还给您。请见谅!Dec 10 at 7:40 AM
这边我找到有Neo种植体的诊所了,可那医生说应该植骨,重种。您能把我在美国时刚做完植体和装上牙冠后的x片发给我吗?我也把12月1号,8号和14号的x片发给您(图三至五). 另外,植体里的螺丝会磨没了吗? December 14, 2019, 3:21:23 AM EST

丽霞: 植体里的螺丝磨损很难证实,而基牙磨损容易看清楚。你术前骨头宽度还可以,高度差一些,要增加后者,医生技术要非常好。如果基牙有明显磨损,最好放置新的基牙,torque到30Ncm后,拍根尖片,证实基牙完全坐落在植体上,然后口内取模,即再也不要把基牙取出。最好在放入新的基牙前,放置healing abutment,让软组织不会阻碍基牙入位。
你的植体是用导航植入,应该位置正确,种植前考虑到第二磨牙需要往后面移位。如果医生认为需要取出植体,最好植入软组织水平植体,或者不容易松动骨组织水平植体,即植体与基牙之间连接比较稳当。虽然Neo种植牙好像在你身上容易松动,如果换了一种不容易松动的种类,由于你的咬合力大,你可能会把植体咬松,脱落。新的牙冠放入后,必须好好调整咬合。在发根尖片时,发现你应该做左下五,甚至左下七牙冠,可能让植体压力小些,基牙螺丝就不容易松动。祝你顺利

Dec 14 at 7:35 AM

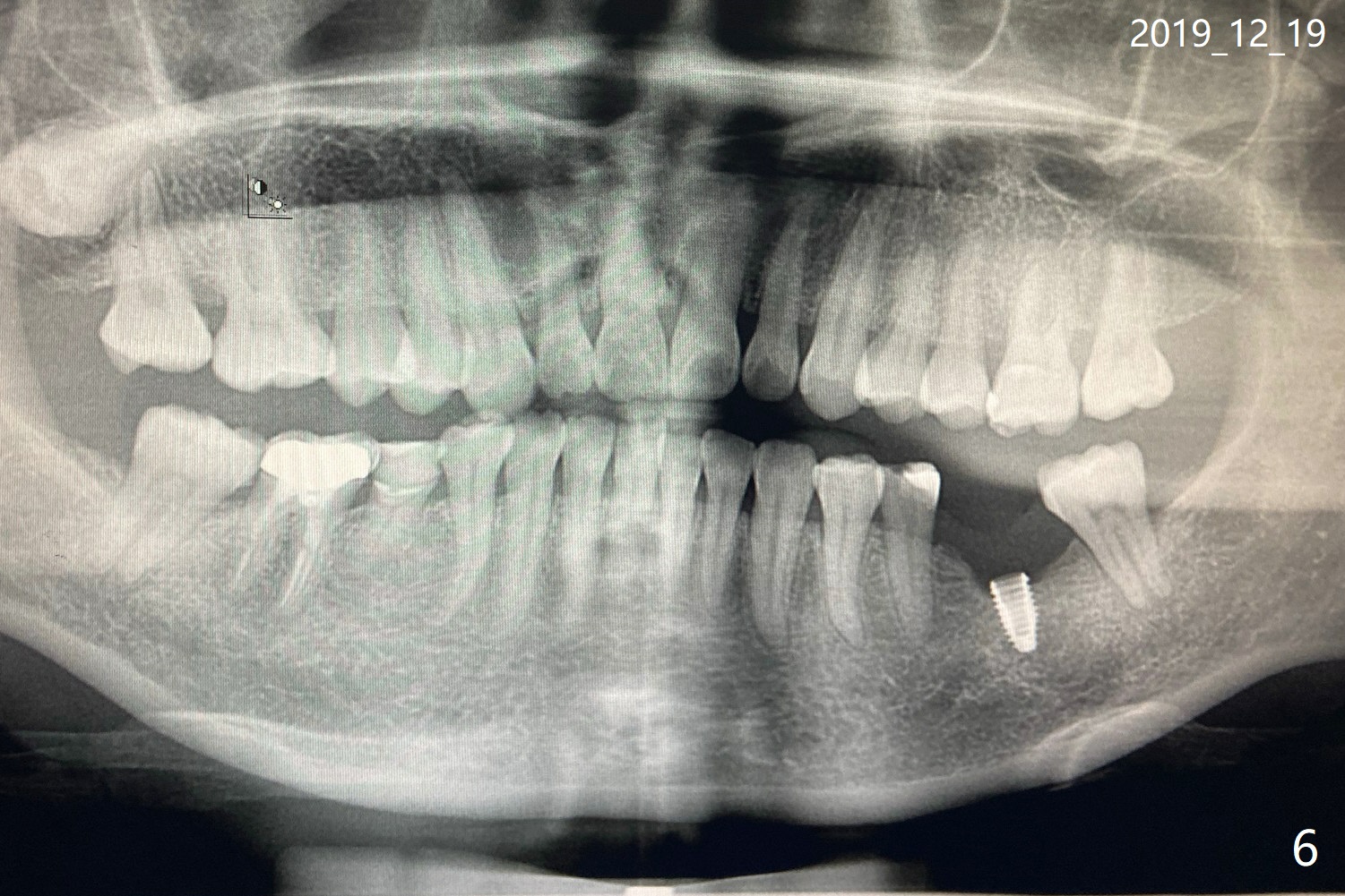
这边医生说我有种植体牙周炎,不能装healing abutment。今天给放上了一个钉子。您看我发的照片了吗(图六,七)?请指示 

Dec 19 at 2:46 AM

由于手头资料少,很难帮你判断,能请医生拍摄根尖片或者CT检查?如果种植体周围炎诊断正确,他们的建议?最好我少提出建议,影响你与他们配合。临床情况复杂,鞭长莫及 Dec 19 at 1:42 PM

几经周折,植牙修复了。您的工具我会找朋友带回去,或者等我去的时候带给您?如果不急着要的话。谢谢给予的支持!图八 Dec 27 at 7:14 AM

工具不急。最好做左下五和七牙冠,减少植牙负担和松动。现在这两个牙齿咬合不好,咬合面有点歪。另外继续用水牙线,如果右边牙齿不好,也需要及时治疗,争取两侧咀嚼。

Dec 27 at 12:30 PM

那张是没有完全装上时照的,后来医生又给调了一下咬合,应该问题不大,等我去美国时您再给看看。谢谢您!

Dec 28 at 3:21 AM

没事就行。万一再松,恰好你马上回美国,叫医生放置healing abutment 6 or 6.8x7 mm, 事先涂抗菌素软膏。如果疼痛明显,使用直径小些healing abutment. 如果你们执意放回牙冠,多拍摄一张根尖片,拍摄时尽量与牙齿平行,寄给我,原件。如果能把最后一张根尖片,原件,寄来,更好。

Dec 28 at 8:00 AM

 

Return to Lower Molar Immediate Implant Armaments
Xin Wei, DDS, PhD, MS 1st edition 12/28/2019, last revision 12/28/2019