![]() |
![]() |
![]() |
![]() |
![]() |
均匀硬骨质可能是钻洞不偏移原因
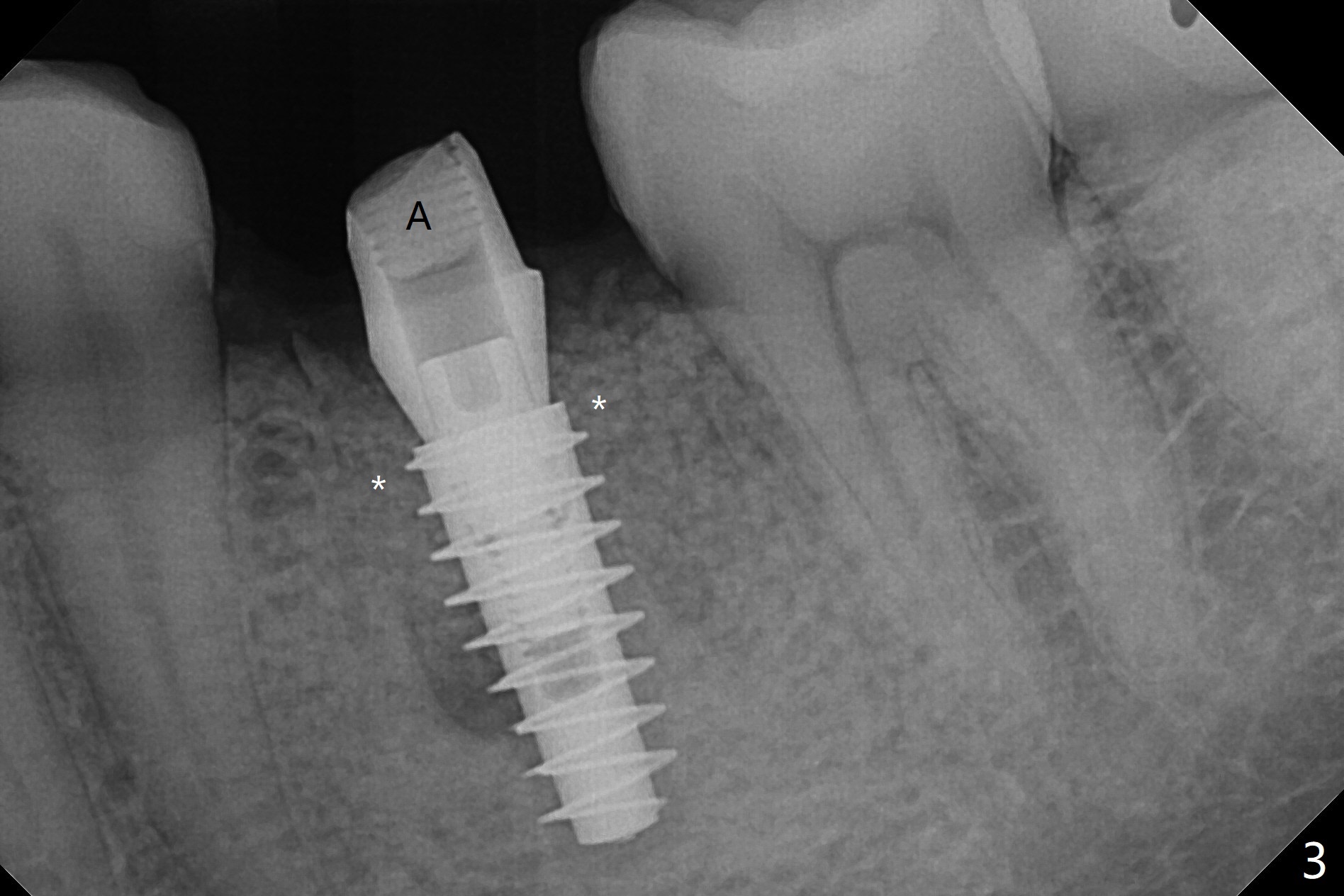
54岁男左下6根管治疗不成功,远中舌侧根弯曲,拔除时牙齿牙根多次断裂,骨质也硬,即使使用2.2毫米钻头也很吃力,钻至11.5毫米深,拍摄根尖片,显示钻洞没有明显偏移(图一),临床观察一致。当钻头直径增大,浅部钻洞,震动大,深部时,震动慢慢减少。为了植入5x11毫米植体,钻头必须4.5毫米,植体还必须反复倒旋转,才能减少扭力至40Ncm。由于没有骨质阻挡,基台放置尚顺利(图二)。拔牙时舌侧远中骨壁破坏,植入粘性骨粉重点放入 (图三:*),表面覆盖一张PRF膜(图四),最后制作临时牙冠。术后1.5月调整临时牙冠,牙槽窝愈合正常(图五)。
Return to Prevent Molar Periimplantitis (Protocols, Table) No Caries Torque Xin Wei, DDS, PhD, MS 1st edition 03/23/2021, last revision 05/06/2021