![]() |
![]() |
![]() |
Bury Implant Threads
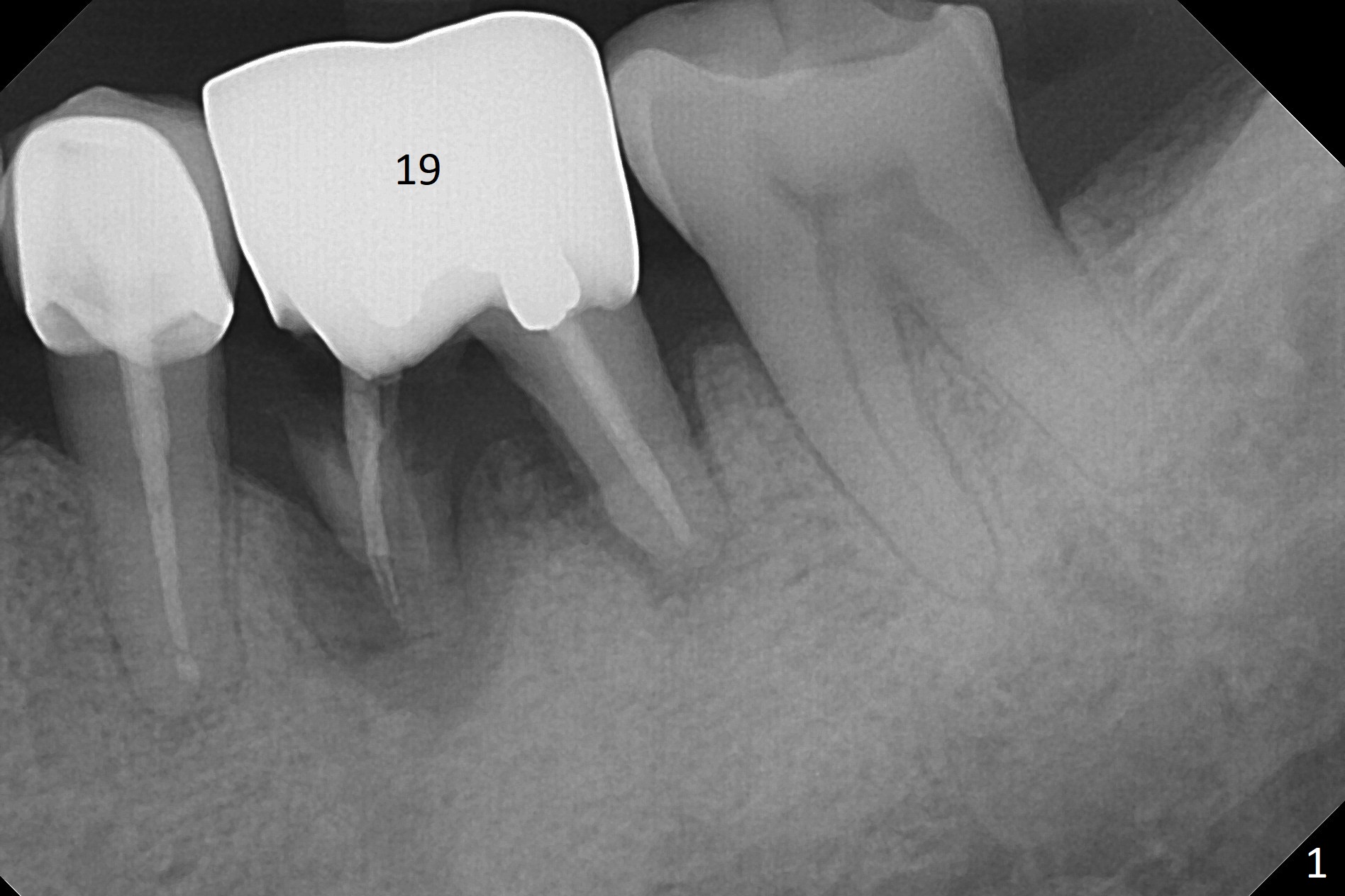
A 64-year-old man will return for #19 extraction and implant. Use IS drills with 10 mm stoppers until 4.5 mm, followed by 5x17 mm tissue-level tap (14 mm gingival level) and PA. Make sure that tap and later implant threads are in the bone or can at least be covered by bone graft (Fig.2,3).
Return to
Lower
Molar Immediate Implant, Prevent
Molar Periimplantitis (Protocols,
Table),
Armaments,
Clindamycin
Xin Wei, DDS, PhD, MS 1st edition 04/13/2018, last revision 09/30/2018