![]() |
![]() |
Narrow Ridge Narrow Implant
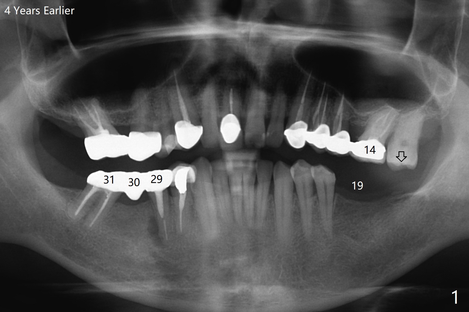
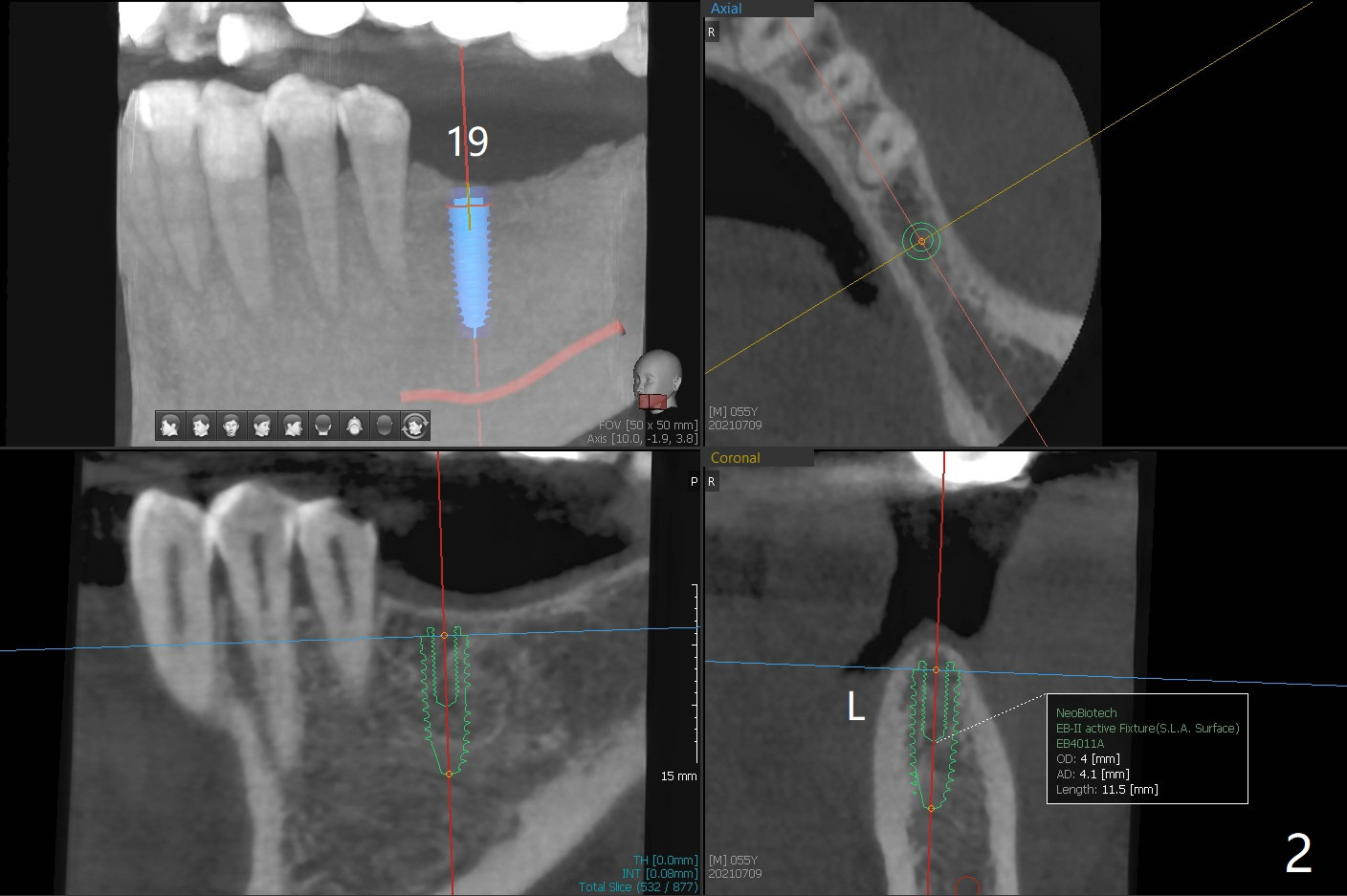
A 55-year-old man agrees to have implant(s) to be placed on the left side 4 years post #29 and 30 implantation. Recently the tooth #31 lost crown (Fig.1). Since the tooth #15 is supraerupted, an implant will be placed at #19 first. A 4 mm implant will be placed in the narrow ridge of #19 (Fig.2).
Return to
Protect
Graft
手术
Xin Wei,
DDS, PhD, MS 1st edition 07/09/2021, last revision
08/10/2021