![]() |
![]() |
![]() |
![]() |
IS Guide for IBS Magicore
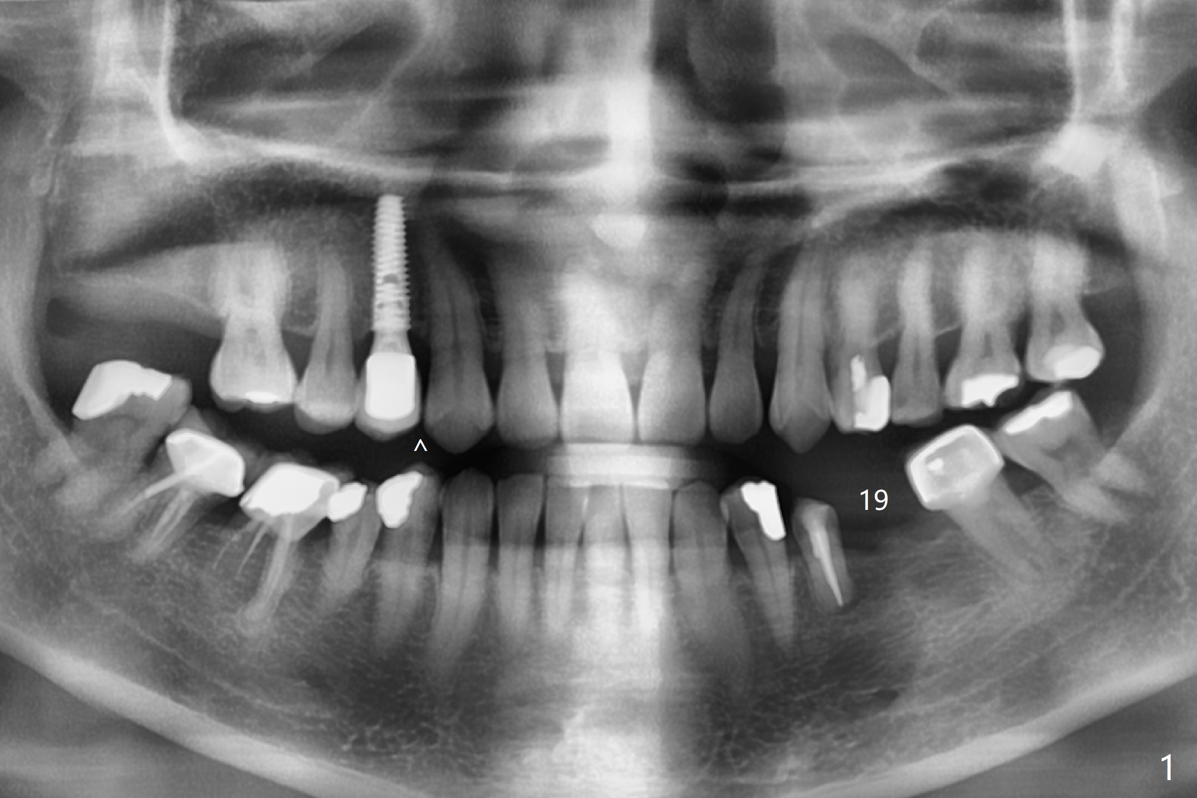
A 52-year-old woman requests an implant at #19 (Fig.1). Her other 2 concerns are the diastema between #5 implant crown and the tooth #6 (Fig.1 (^),2) and whether the tooth #20 is stable enough for crown after sectioning #18-20 FPD and RCT (Fig.1,3 (disto(*)-buccal (B) bone loss)). The ridge at #19 seems to be narrow; a 4x10 mm IS implant appears to be appropriate for the site (Fig.4). Since Magicore has a narrow core and aggressive fins, a 4.0 or 4.5x9(3) mm implant is apparently a good fit. After osteotomy, remove guide, use perio probe to determine crest level and place Magicore
Return to Lower Molar Immediate Implant, Trajectory
Xin Wei, DDS, PhD, MS 1st edition 11/13/2018, last revision 11/30/2018