![]() |
![]() |
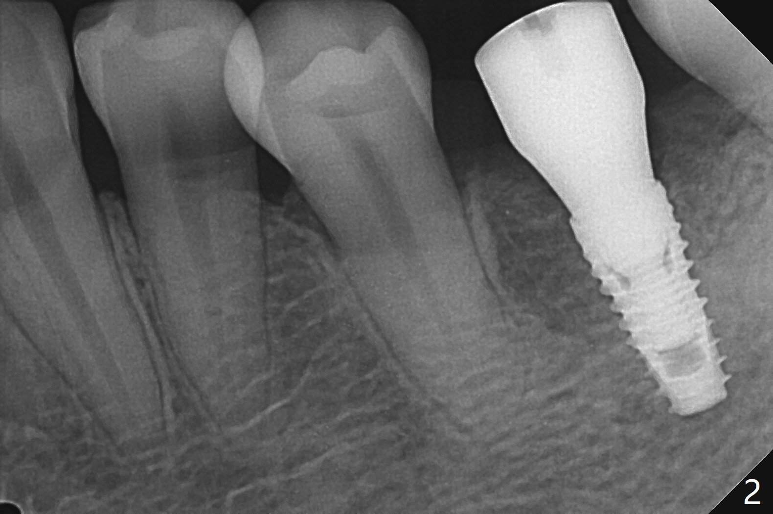
术中使用Profile钻头
尽管有骨质疏松症,必须使用4.0毫米功螺纹后才能植入3.8x8.5毫米植体。牙周探针检查证实植体近中,远中牙槽嵴下。使用5.5毫米Profile钻头,放置5.5x7(4) 毫米愈合基台,后者好像完全就位(图一,二)。
Return to
Protect
Graft
Torque
Oral
Scanner
Xin Wei,
DDS, PhD, MS 1st edition 07/19/2021, last revision
07/19/2021