![]() |
![]() |
![]() |
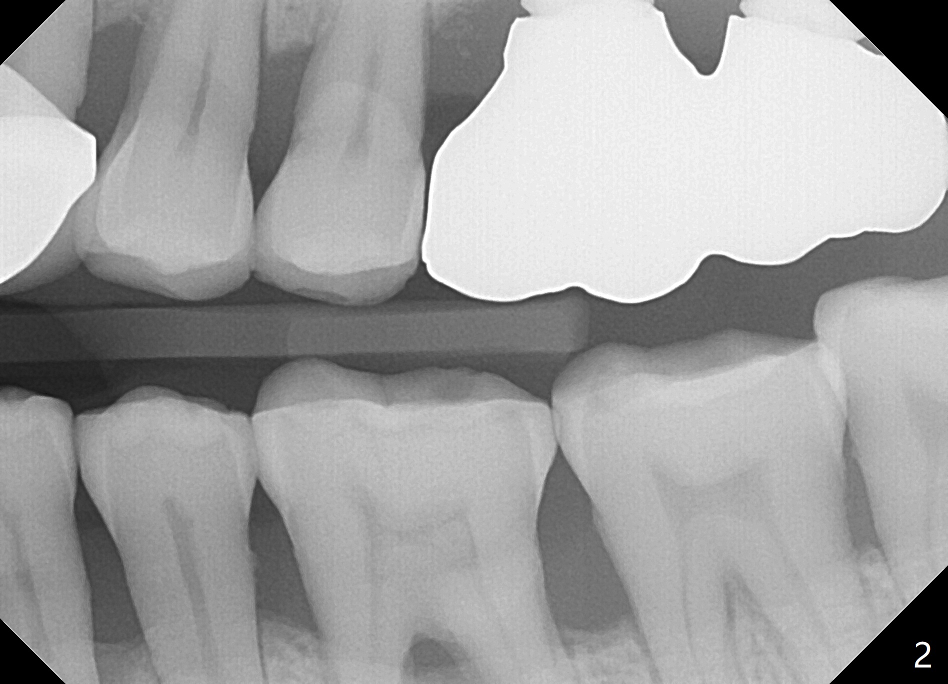
Improve Implant/Crown Ratio and Prevent Periimplantitis
A 59-year-old man seems to have perio-endo disease at #19 (Fig.1-3). To improve implant/crown ratio, place IS implant at the crestal level (not too deep). To prevent periimplantitis (buccal plate postop resorption), place the implant lingually. Prepare surgical handpiece to initiate osteotomy or to flatten the septum.
Return to
Lower
Molar Immediate Implant, Prevent
Molar Periimplantitis (Protocols,
Table), Armaments,
Clindamycin
Xin Wei, DDS, PhD, MS 1st edition 02/23/2018, last revision 02/23/2018