![]() |
![]() |
![]() |
![]() |
![]() |
![]() |
![]() |
![]() |
Restoratively Induced Intrusion
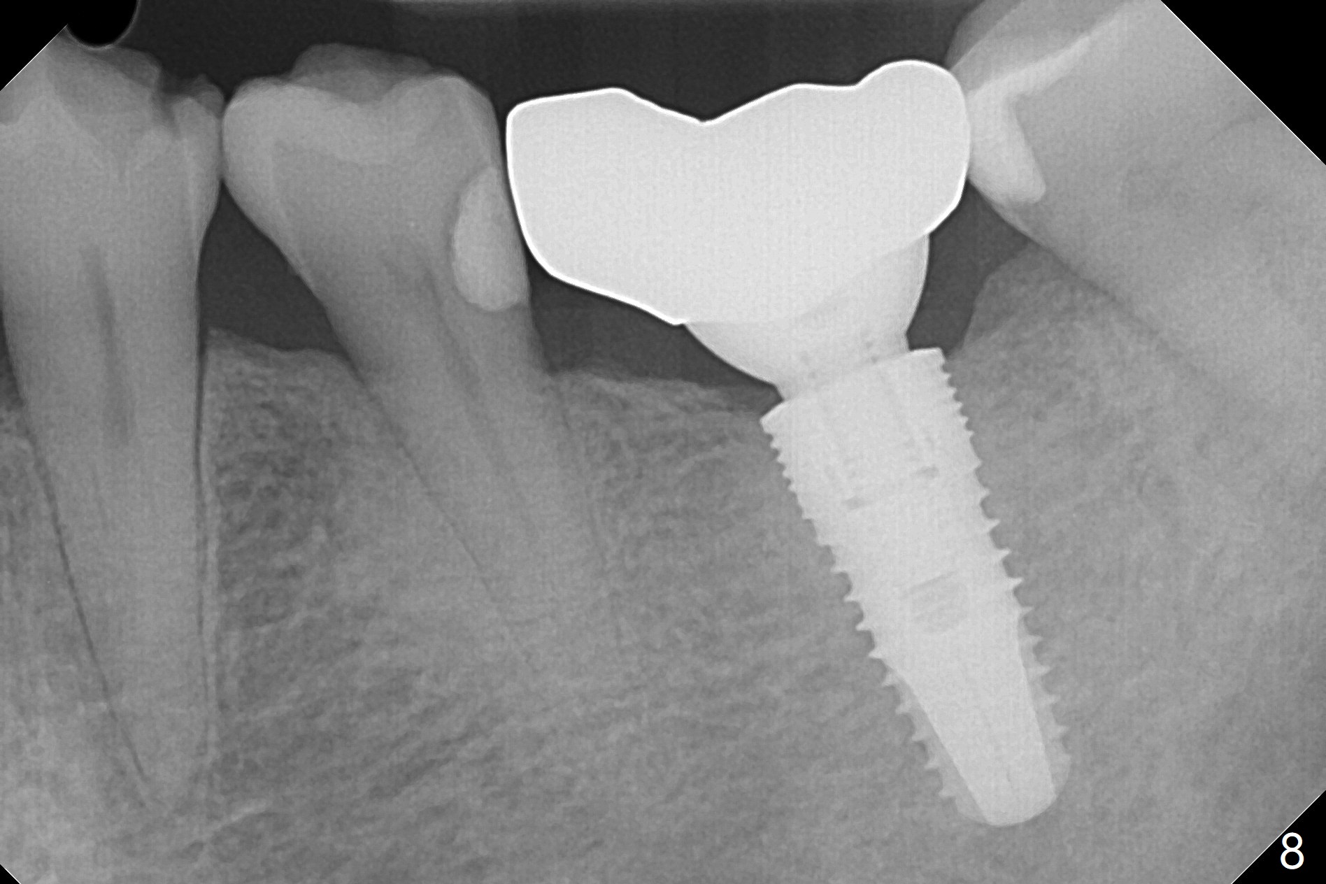
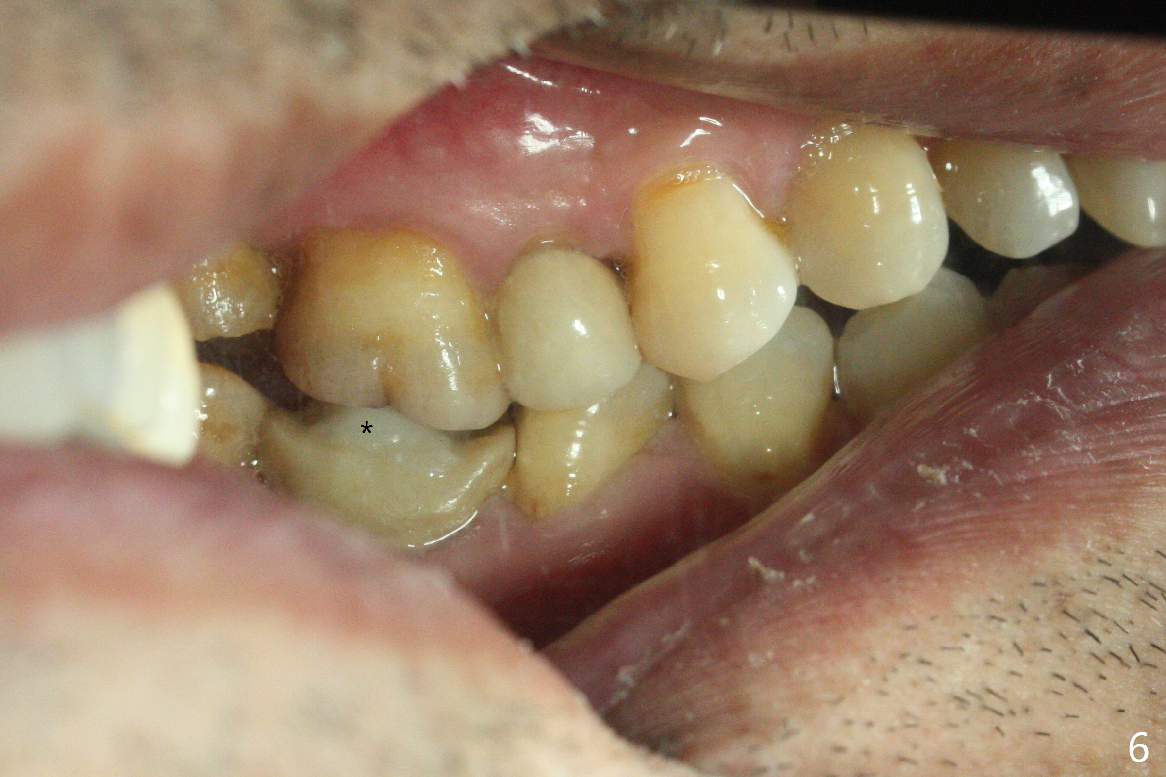
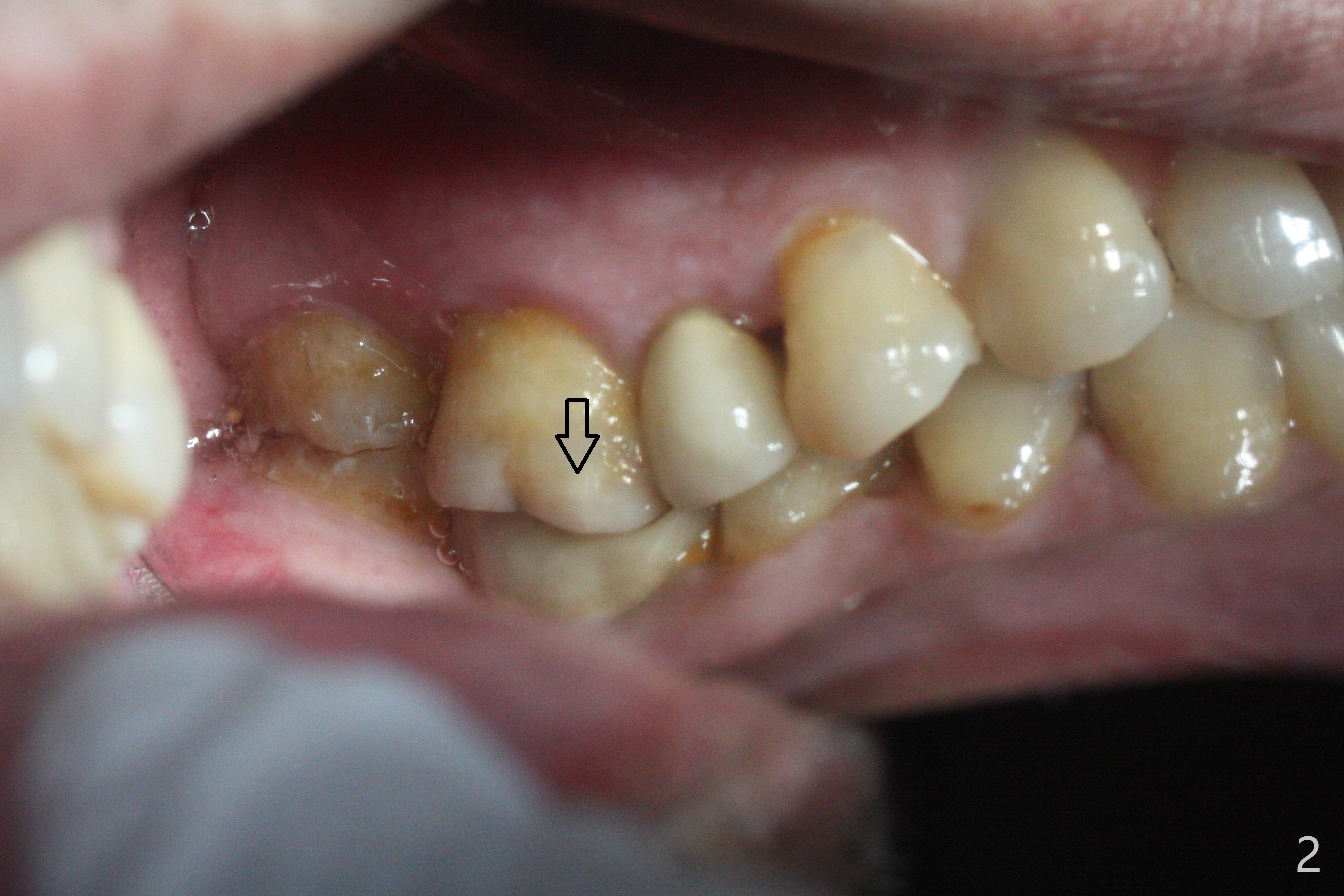
A 62-year-old man complains of food impaction around #19 implant crown one year 4 months post cementation (Fig.1-3). Before redo of the crown with poor mesial emergency profile (Fig.3 *), it appears necessary to correct the supraerupted opposing molar (Fig.1-3 downward arrow) and mesially tilted 2nd molar (Fig.3 horizontal arrow). The tooth #19 had been missing 20 years before implantation, associated with occlusal wear at #18 (Fig.4). For intrusion, composite is placed in the occlusal surface of #19 crown after roughening (Fig.5,6) with occlusal separation of the remaining dentition (Fig.6). The patient is instructed to bite on the left side as much and long as possible (even when he does not eat). Will the tooth #14 be intruded? Is the treatment sufficient?
In fact the tooth #14 appears to have been intruded 2 months post-treatment. The composite dislodges 3 months later. A new crown with screw retained is fabricated, but the patient cannot masticate well on the left. DO caries of the tooth #20 is found (Fig.7) and restored (Fig.8). As a matter of the fact, the food impaction is reported between #18 and 19! What can we do now?
Return to
Lower
Molar Immediate Implant,
Trajectory II,
Ortho/Implant
Xin Wei, DDS, PhD, MS 1st edition
07/28/2019, last revision
07/28/2019