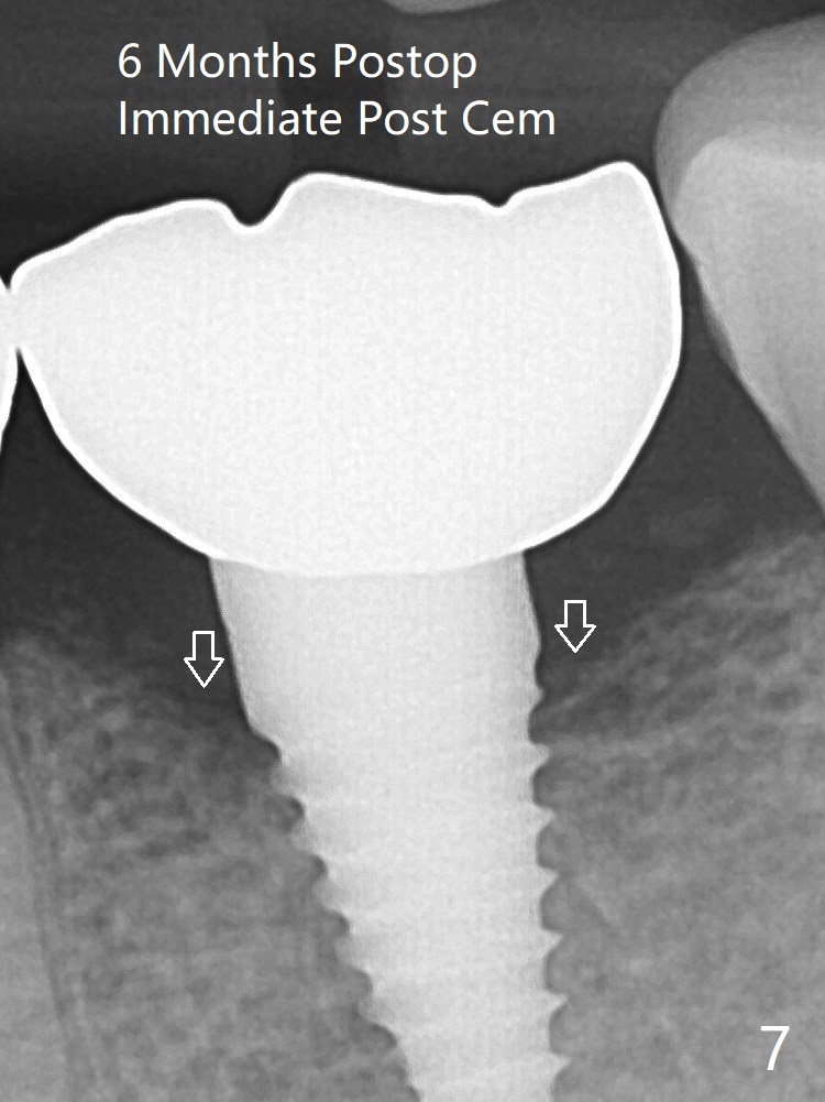
病人抱怨用临时牙冠咀嚼疼痛,不咬后没有不舒服,其实临时牙冠咬合面穿孔,牙龈正常,永久粘固剂没有外溢(图七)。术后4.5-6个月植体周围骨质吸收(图六,七:箭头)。牙槽嵴处钻洞应与植体直径一样才能减少骨质吸收。

磨牙一段式植体     Last     Next

Xin Wei, DDS, PhD, MS 1st edition 08/07/2021, last revision 08/07/2021