![]() |
![]() |
![]() |
![]() |
![]() |
![]() |
![]() |
![]() |
![]() |
![]() |
![]() |
Proximal Sheath to Reduce Food Impaction
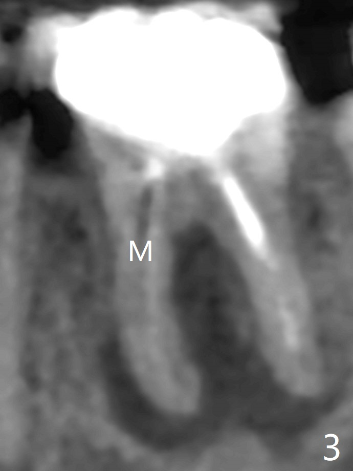
Low crestal bone is often associated with food impaction/periimplantitis and related to the existing apical bone loss (poor blood supply). The tooth #30 has severe buccal bone loss (especially mesial, Fig.3) and gingival recession. An implant is designed to be placed in the mesial socket (Fig.1,2). The mesial crest is expected to be resorbed, which may be prevented by mesial sheath barely (Fig.1', 2'). Fig.4 is an axial section showing that the lingual (L) portion of the mesial (M) root has bony support (periodontal ligament). If the portion of the root is retained (Fig.5 *), the nearby crestal bone will be unlikely resorbed (no food impaction). Because of limited space, check the mesial sheath after osteotomy with guide and before implant (Fig.6 I) placement. Trim the sheath if needed.
In other word, a surgical handpiece will be used to section the tooth (Fig.7) horizontally to remove the crown (Fig.8). The distal root will be removed (Fig.9), followed by the distal portion of the mesial root (Fig.10). In fact there is no space for the mesial sheath. Return to No Deviation Shield GEM21S Xin Wei, DDS, PhD, MS 1st edition 05/07/2020, last revision 05/19/2020