![]() |
![]() |
![]() |
![]() |
![]() |
![]() |
Tackle Severe Bone
Loss
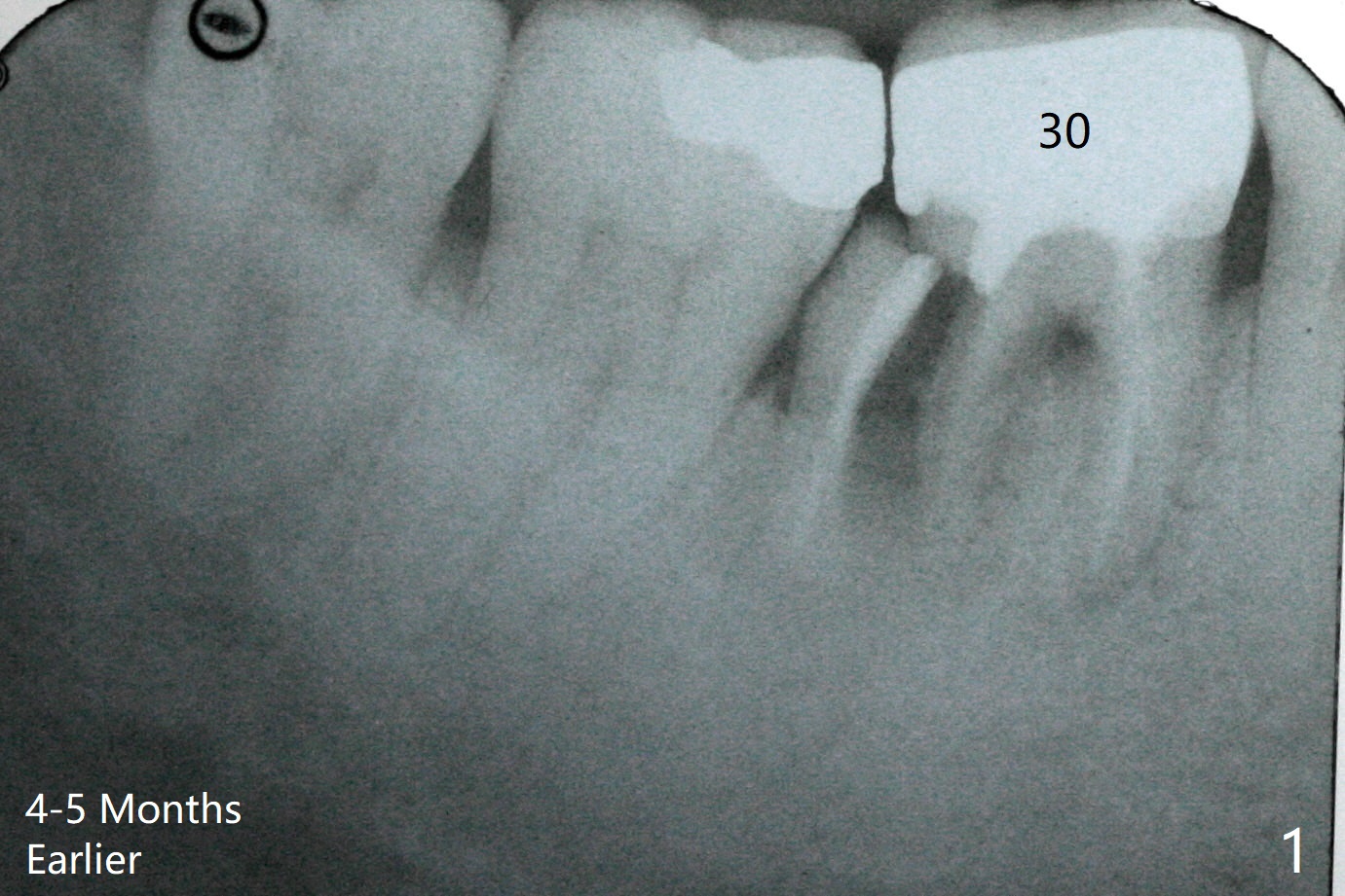
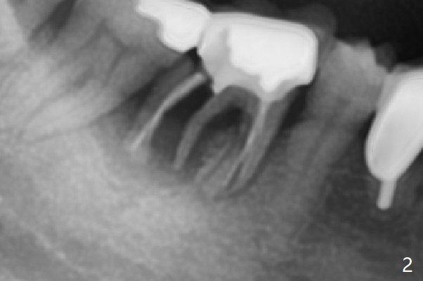
A 66-year-old woman loses a lot of bone at #30 in 4-5 months (Fig.1,2). There is severe buccal swelling, suggesting loss of the buccal plate and easy collapse of the gingiva after bone graft. In addition to an immediate provisional, periodontal dressing will be applied for support and seal. To prevent abutment screw loosening, guide will be used for implant placement in the most ideal trajectory (Fig.4). A tissue-level implant will provide with more security in prevention of screw loosening (Fig.5). If immediate implant is impossible, bone graft will be placed. Four months later, retake 5x5 cm CT for lab to determine the fitness of the guide.
Return to
Lower
Molar Immediate Implant,
Prevent Molar Periimplantitis (Protocols,
Table),
Trajectory,
Metronidazole
Xin Wei, DDS, PhD, MS 1st edition
03/06/2019, last revision
05/02/2019