![]() |
![]() |
![]() |
![]() |
What Should be Done?
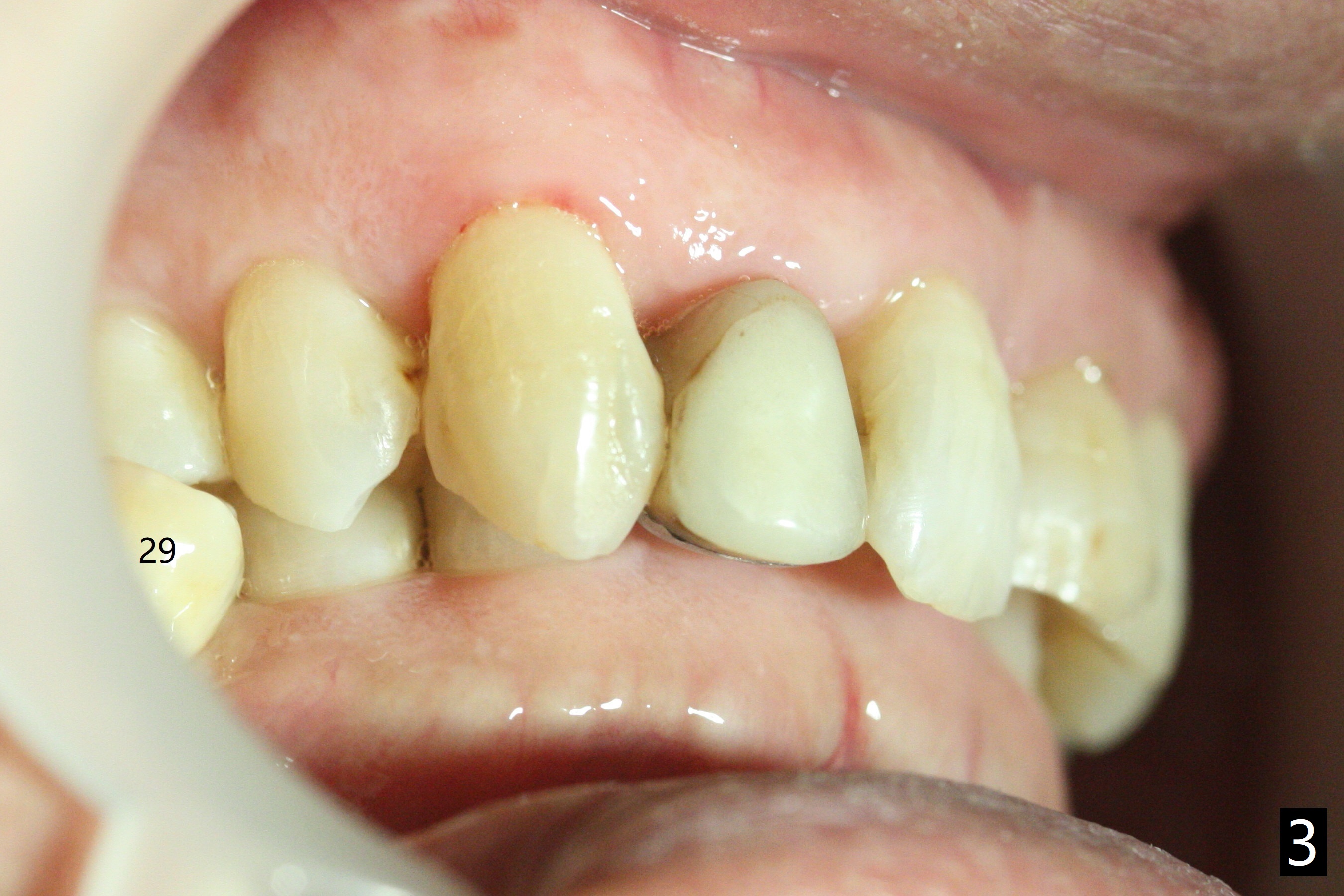
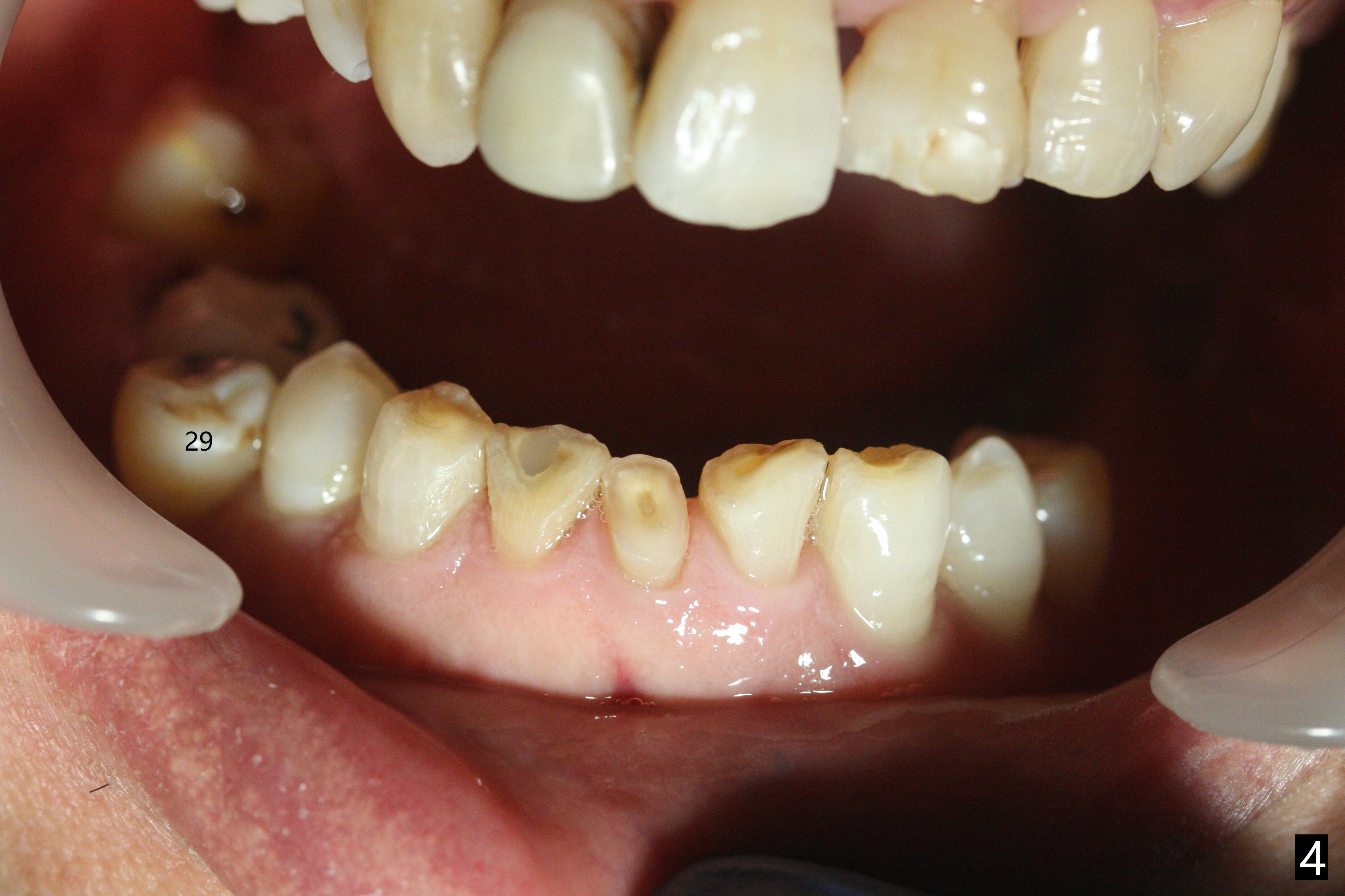
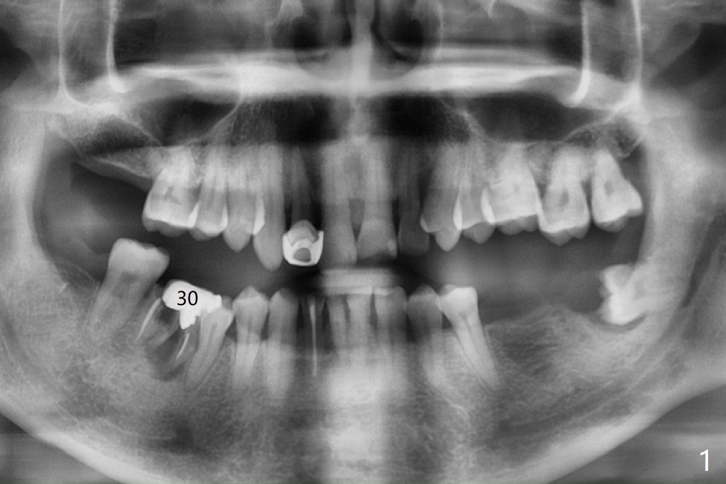
A 61-year-old man presented to clinic for new patient examination last year (Fig.1). He was not interested in extraction and implant at #30 because of finance. This year he requested treatment since he cannot chew well (Fig.2). After exam, extraction and implant at #30 appear not to be a priority, since there is anterior deep bite (Fig.3) with posterior occlusal collapse (Fig.4) as well as #29 malposition.
Return to
Lower
Molar Immediate Implant,
Prevent Molar Periimplantitis (Protocols,
Table)
Trajectory II
Clindamycin Metronidazole
No Antibiotic
Ortho Cases
Plug
Professionals
Shield
Xin Wei, DDS, PhD, MS 1st edition
11/29/2019, last revision
11/29/2019