![]() |
![]() |
![]() |
Resorbed Septum
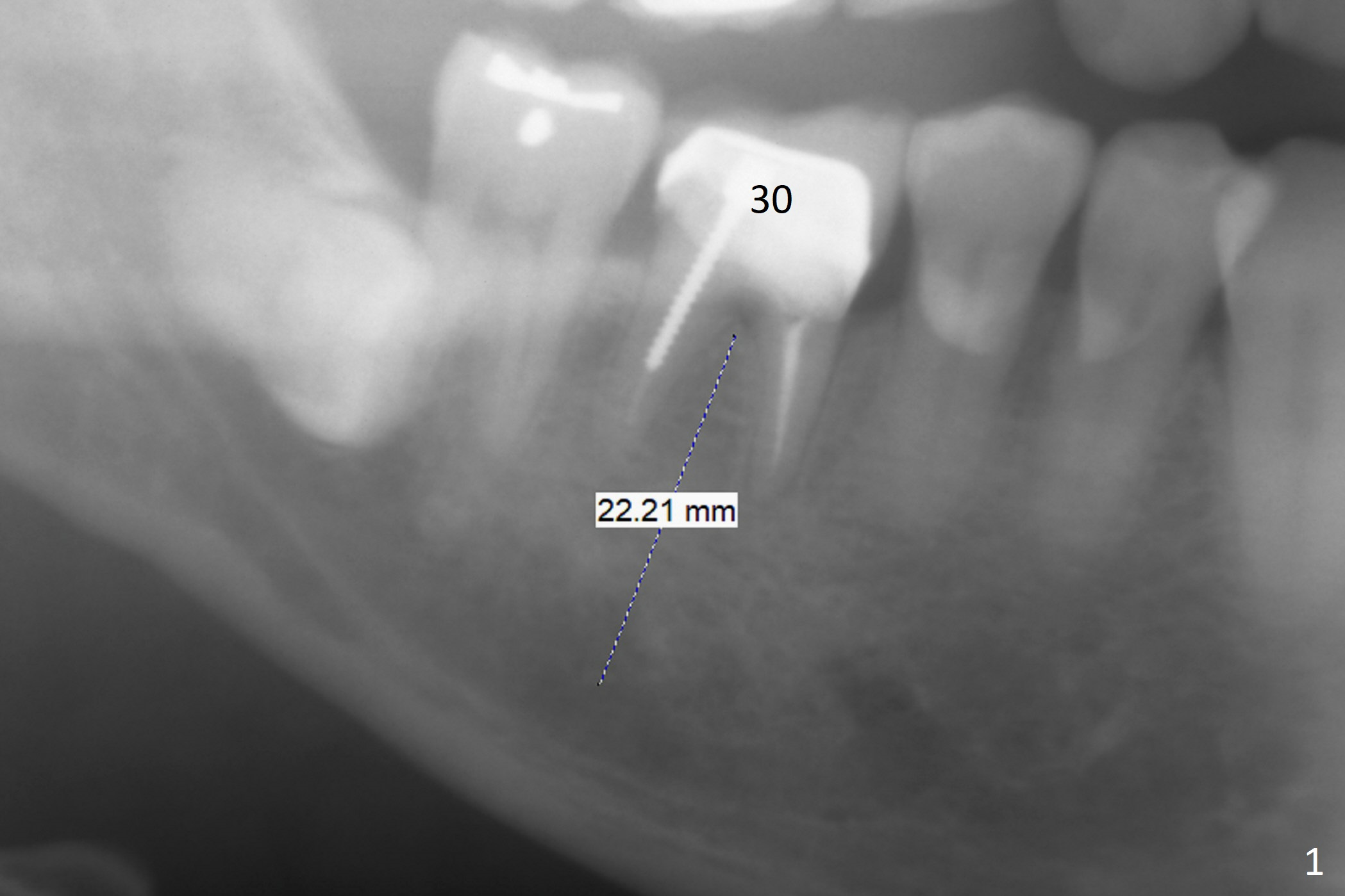
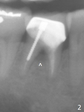
There appears no bone resorption at the septum of the tooth #30 of a 61-year-old man with 22 mm of bone (Fig.1; 10 years ago). The septum starts to have bone loss without symptom 3 years earlier (Fig.2 ^). Now the tooth is symptomatic with bone lesion also involving the mesial apex (Fig.3 *). Osteotomy will be initiated in the flattened septum with 4 mm mesiodistal width. Prior to placing a 13 mm IS implant, the depth of the last 2nd drill will be 15 mm. Prepare Magic Expanders. Place Magic Split blade buccolingually to expand the septum mesiodistally.
Return to Lower Molar Immediate Implant, Prevent Molar Periimplantitis (Protocols, Table), Armaments, Metronidazole Xin Wei, DDS, PhD, MS 1st edition 12/20/2017, last revision 08/12/2018