![]() |
![]() |
![]() |
Septal Bone Regeneration
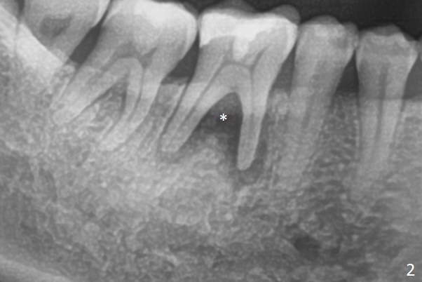
A 45-year-old man fractures the distolingual cusp of the tooth #30 subgingival (Fig.1). In fact RCT restores the septal bone, as compared to Fig.2. Initial depth at the septum is 13 mm (Fig.3).
Return to
Lower
Molar Immediate Implant, Prevent
Molar Periimplantitis (Protocols,
Table), Armaments,
Metronidazole
Xin Wei, DDS, PhD, MS 1st edition 12/30/2017, last revision 12/30/2017