![]() |
![]() |
Guided Implant Prior to Restoration
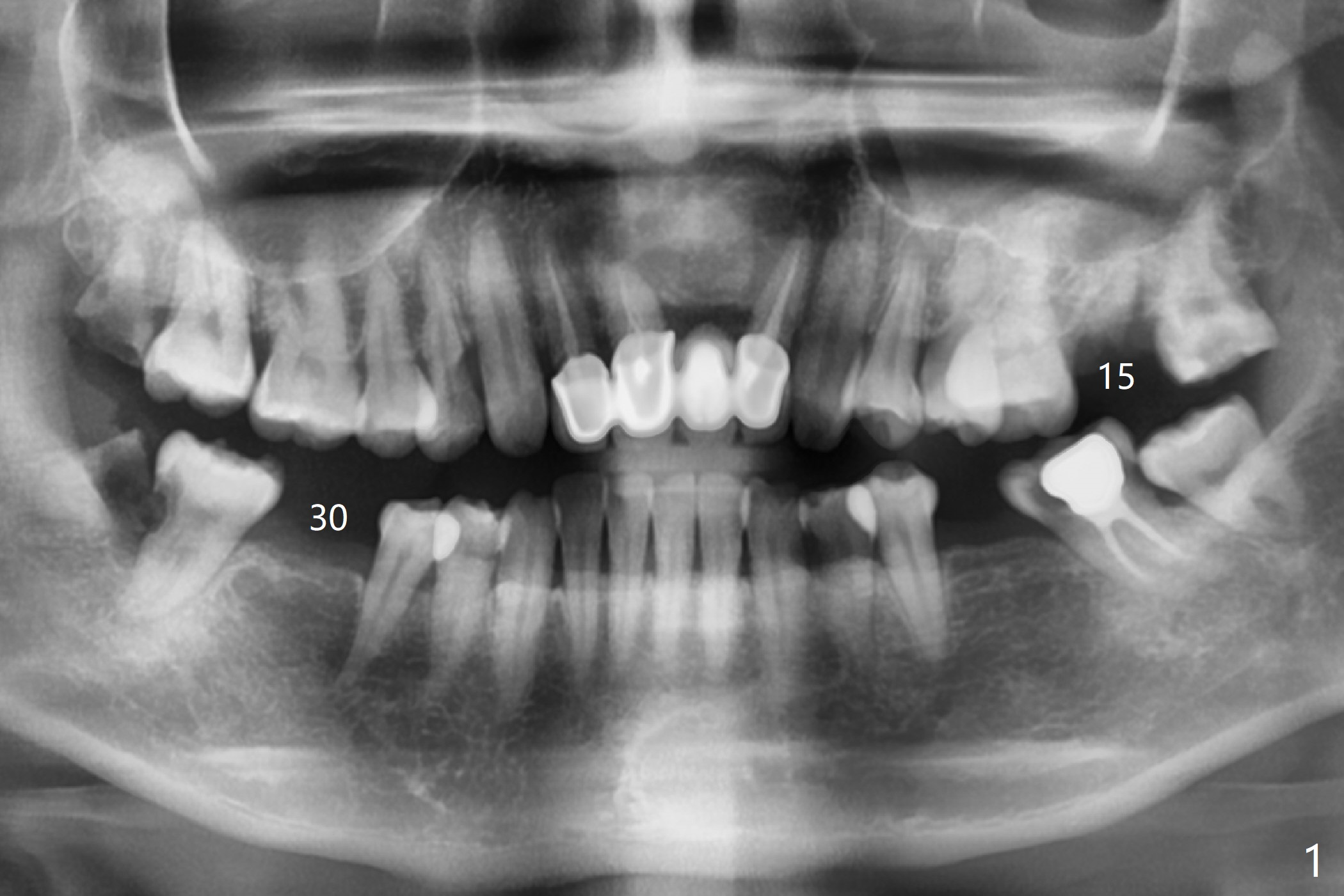
A 44-year-old woman is extremely nervous about dentistry. She presents to office with #15 infection (Fig.1). Since there is malocclusion on the left side (#13 cross bite, 14,18 supraeruption, and 17 and 18 mesial tilt) and she refuses orthodontic treatment, the tooth #15 will be extracted without implant before she leaves for China in 4 months. Guided implant at #30 will be placed first to show that the procedure is painless (Fig.2). In fact an appointment is made for #32 extraction and #31 composite or sedative filling, but she is reluctant to have them done.
Return to Lower Molar Immediate Implant Trajectory Xin Wei, DDS, PhD, MS 1st edition 09/19/2018, last revision 09/19/2018