![]() |
![]() |
![]() |
![]() |
![]() |
![]() |
![]() |
![]() |
|
![]() |
![]() |
Guided Surgery Revolutionizes Implant Placement
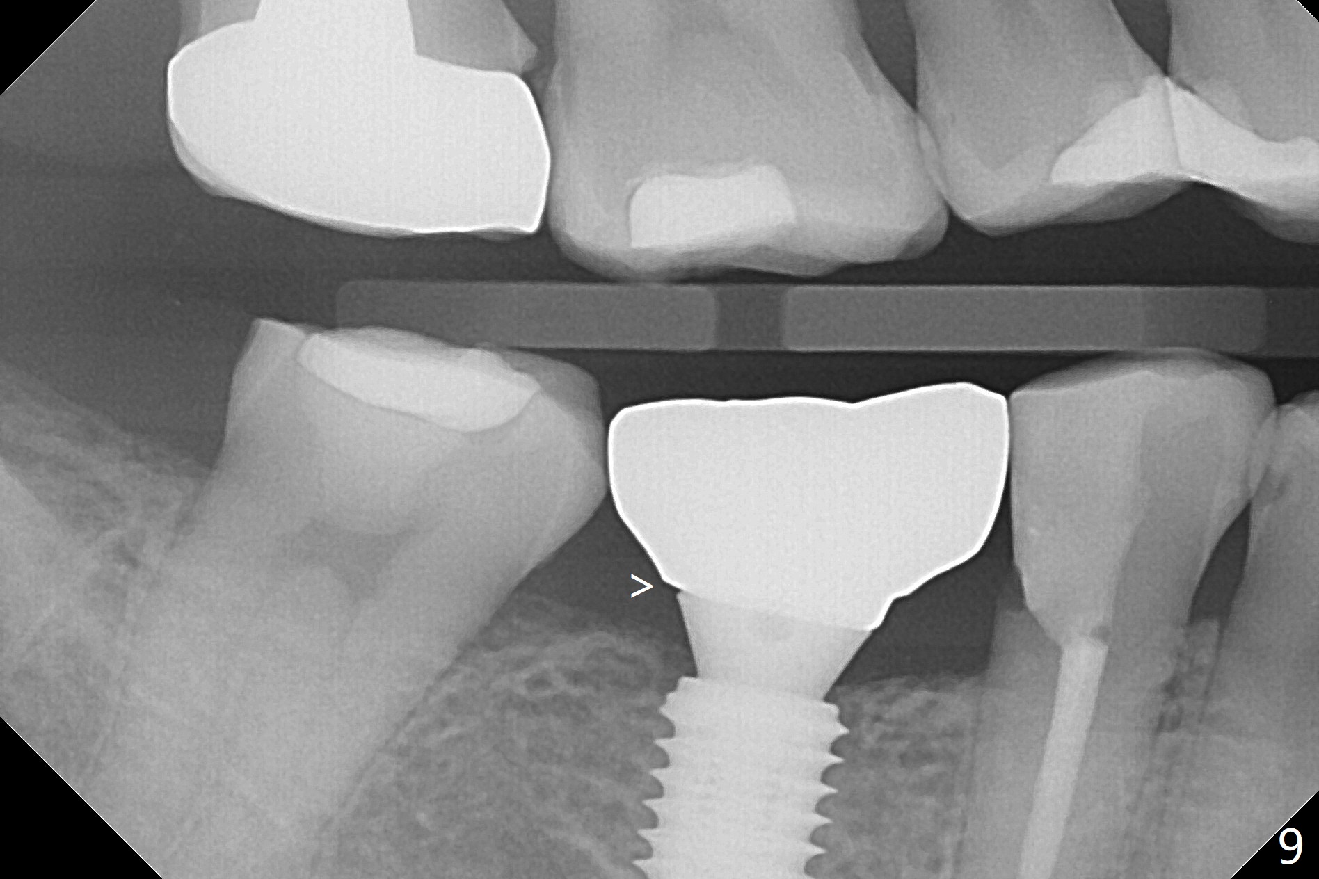
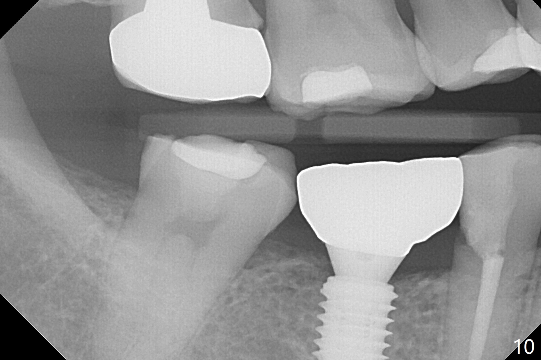
A 5x10 mm implant is placed at #30 with a surgical guide (Fig.1 *) in 10 minutes. The most amazing part of this surgery is that the guide allows you to place the implant at the precise level care-free (~ 1 mm subcrestal, Fig.2,3). Everything happens so quick that when a 5.5x3 mm healing abutment is placed (Fig.4), you are pleased to feel that the implant is stable (Fig.5). You could not ask for anymore. The fearful patient reports no postop pain. The implant is placed as planned (Fig.6, overlap image provided by the guide designer, Jennifer). The patient returns for impression nearly 2 months postop (Fig.7,8). It appears that the implant has osteointegrated without bone loss (Fig.7). The soft tissue is healthy around the just placed cementation abutment (Fig.8 (5.2x4(2) mm)). When the permanent crown is seated initially 2.5 months postop, the mesial contact is slightly tight and the occlusion is high. Bitewing shows the distal open margin (Fig.9 >). After mesial contact adjustment, the patient feels that the occlusion is better. With further occlusal adjustment, the crown is cemented without distal open margin (Fig.10). The patient returns to her home country for 3 months. The implant is doing well 3.5 months post cementation; impression is taken for #14 surgical guide.
Return to Lower Molar Immediate Implant, Armaments Xin Wei, DDS, PhD, MS 1st edition 02/27/2018, last revision 09/06/2018