![]() |
![]() |
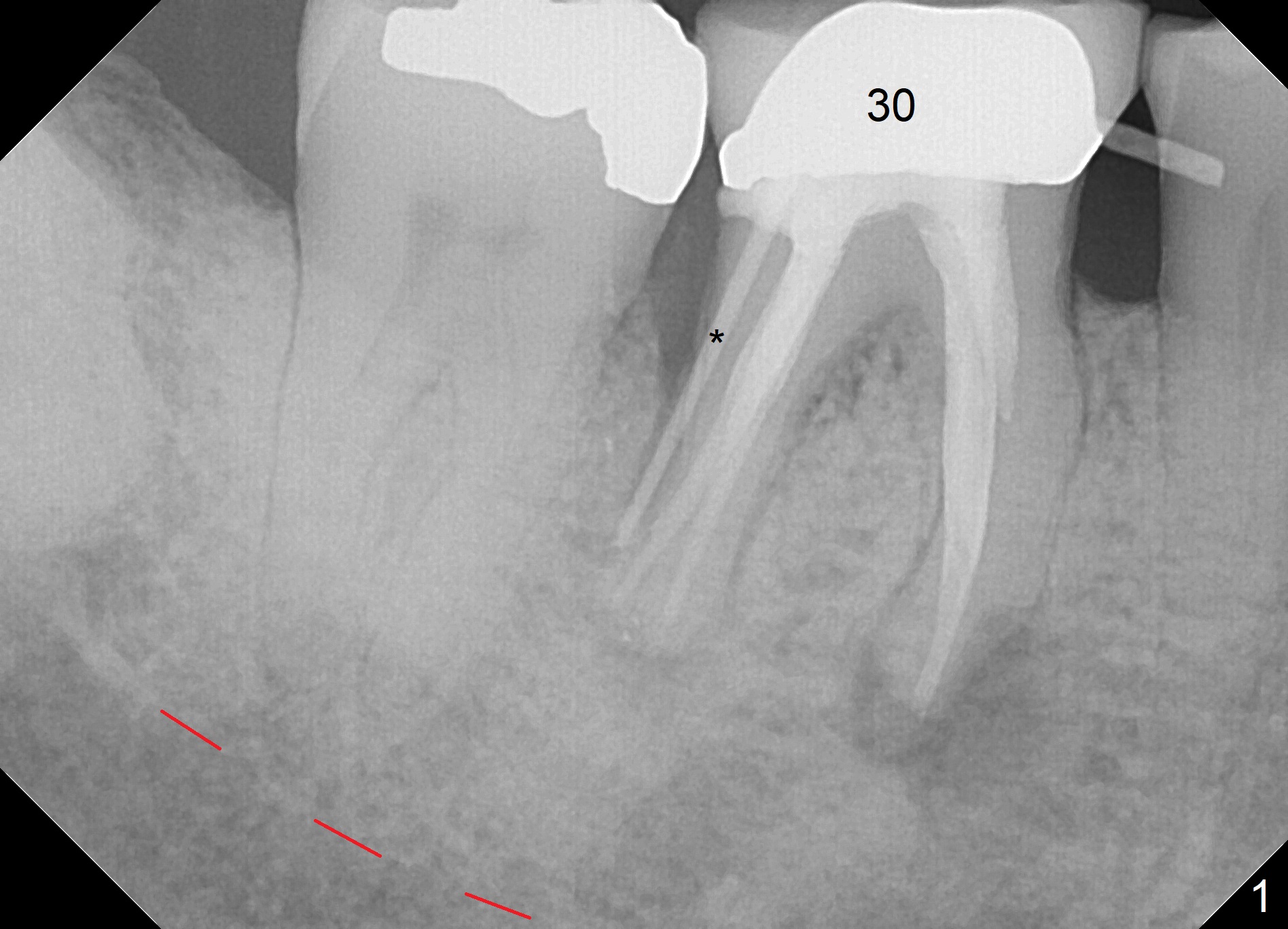
Long Implant For Osteoporosis
A 79-year-old woman with osteoporosis has pain and buccal swelling 9 years post RCT at #30 (Fig.1 (* gutta percha inserted in fistula)). It appears that the tooth should be replaced by a long implant with better surface treatment for osteointegration (Fig.2). Let the implant heal more than 4 months with progressive loading. Take preop photos to show the buccal infection. For the best trajectory, take PA immediately after 2 mm drill and watch for the deviation of the osteotomy. Place Osteogen plug in the apical portion of the sockets and allograft in the coronal half. Start osteotomy as lingual as possible. The patient is nervous. Comfort her.
Return to Lower Molar Immediate Implant, Prevent Molar Periimplantitis (Protocols, Table), Armaments, No Antibiotic Systemic Diseases Xin Wei, DDS, PhD, MS 1st edition 05/21/2018, last revision 05/31/2018