![]() |
![]() |
![]() |
![]() |
![]() |
![]() |
Guided Immediate with Severe
Infection
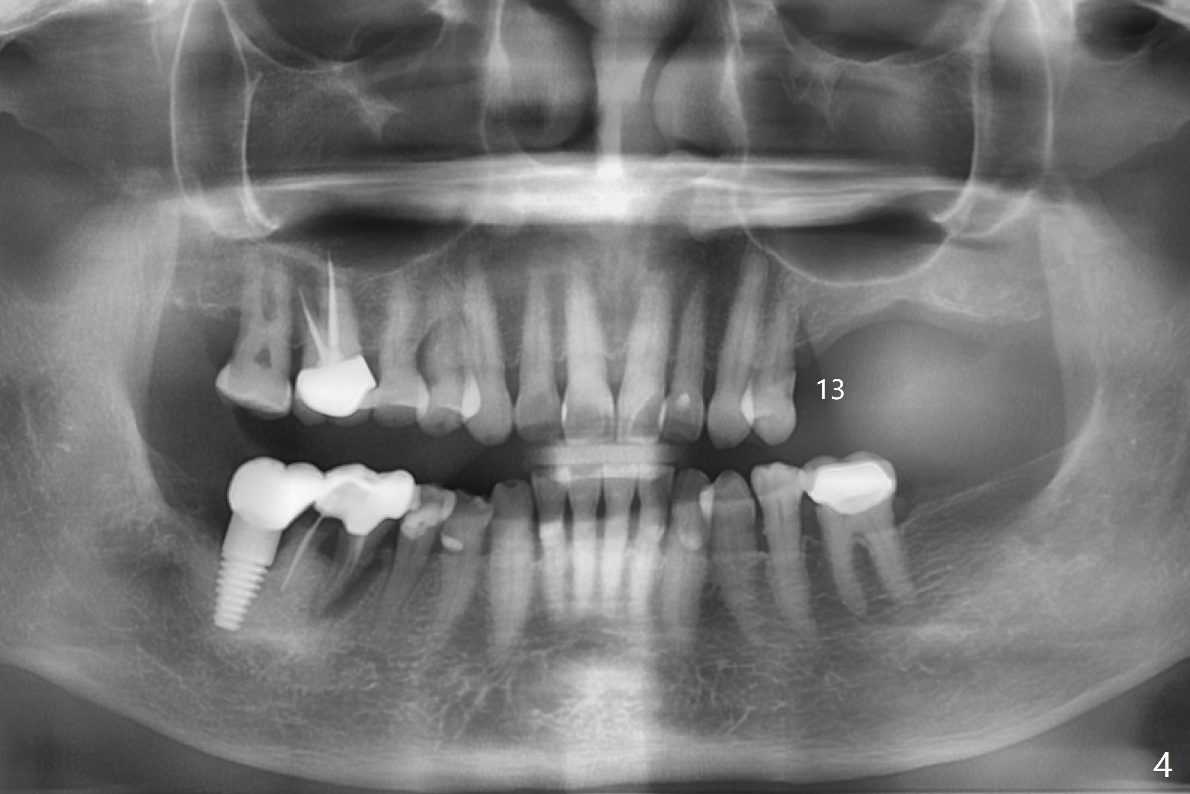
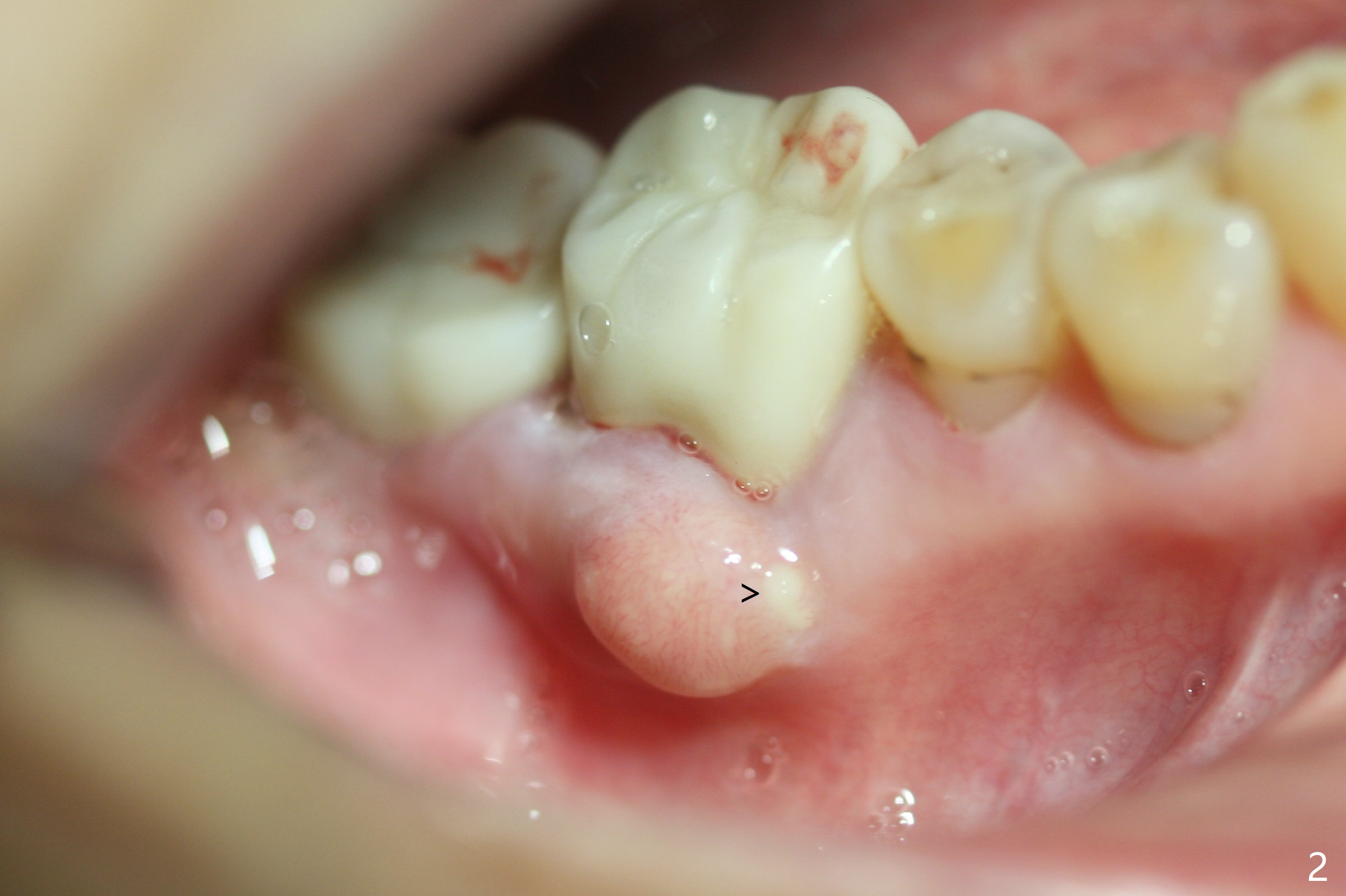
A 67-year-old woman masticates on the right side (Fig.1 (5 years post #30 RCT), as compared to Fig.4,6). One year and 6 months later, there is a fistula mesiobuccal to the tooth #30 (Fig.2 >,4) with mesial root fracture (Fig.3 >). Impression is taken for guide; a 5x11.5 mm implant will be placed slightly distal and lingual to the center of the septum (Fig.5).
Return to
Lower
Molar Immediate Implant,
Prevent Molar Periimplantitis (Protocols,
Table),
Trajectory,
Clindamycin
Xin Wei, DDS, PhD, MS 1st edition 10/03/2018, last revision 10/12/2018