![]() |
![]() |
![]() |
As Lingual As Possible
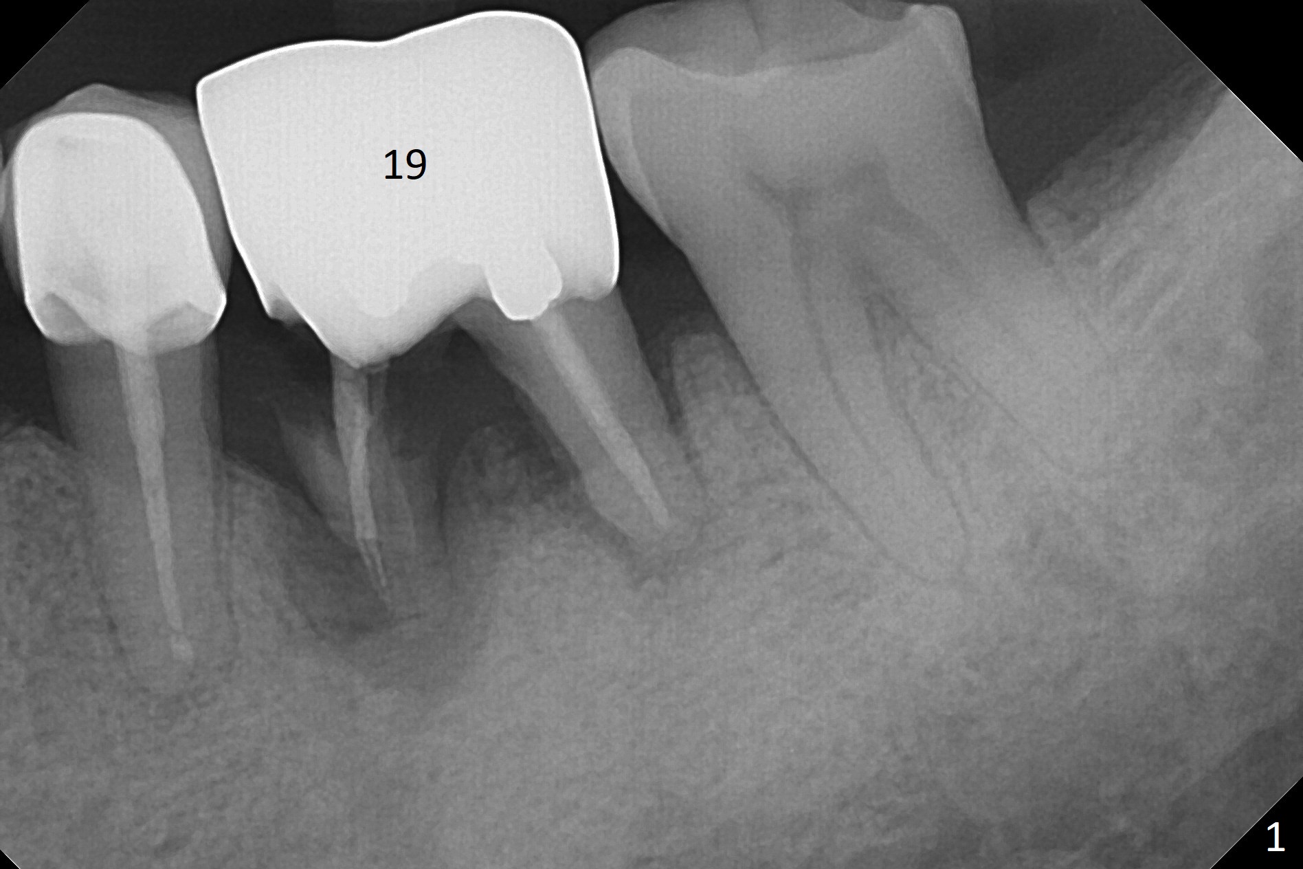
A 64-year-old man feels that the lower right 1st molar irritates the tongue. The mesial root fragment is sharp lingually (Fig.1). Initial osteotomy depth is 14 mm (gingival margin, Fig.2), as lingual as possible (Fig.3 CT taken on 01/21/2011).
Return to
Lower
Molar Immediate Implant, Prevent
Molar Periimplantitis (Protocols,
Table),
Armaments,
No Antibiotic
Xin Wei, DDS, PhD, MS 1st edition 11/10/2017, last revision 09/02/2018