![]() |
![]() |
1-Piece Implant
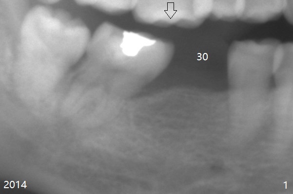
A 49-year-old man requests implants because of difficulty in eating. The teeth #19 and 30 are missing, while #18 and 31 have mobility. For the sake of dental insurance, an implant will be placed at #30 first. Due to long standing edentulism with opposing supraeruption (Fig.1 arrow), the ridge must be narrow. After ridge reduction, the bone height will be ~ 10 mm (Fig.2). To prevent screw loosening, a 1-piece implant will be used. To compensate for height limitation, the diameter of the implant will be 3.5 or 4.0 mm. If the restorative height is favorable, fabricate a provisional prior to suturing so that subgingival margin is possible (to improve cosmetics and prevention of food impaction). If the vertical height is limited for provisional, create clearance barely enough for periodontal dressing. Overprep of abutment height in the early stage may be related to easy dislodgement of the crown later on.
Return to
Lower
Molar Immediate Implant, Armaments
Xin Wei, DDS, PhD, MS 1st edition 01/14/2018, last revision 03/04/2018