![]() |
![]() |
![]() |
||
![]() |
![]() |
![]() |
![]() |
![]() |
No Deviation in 3D
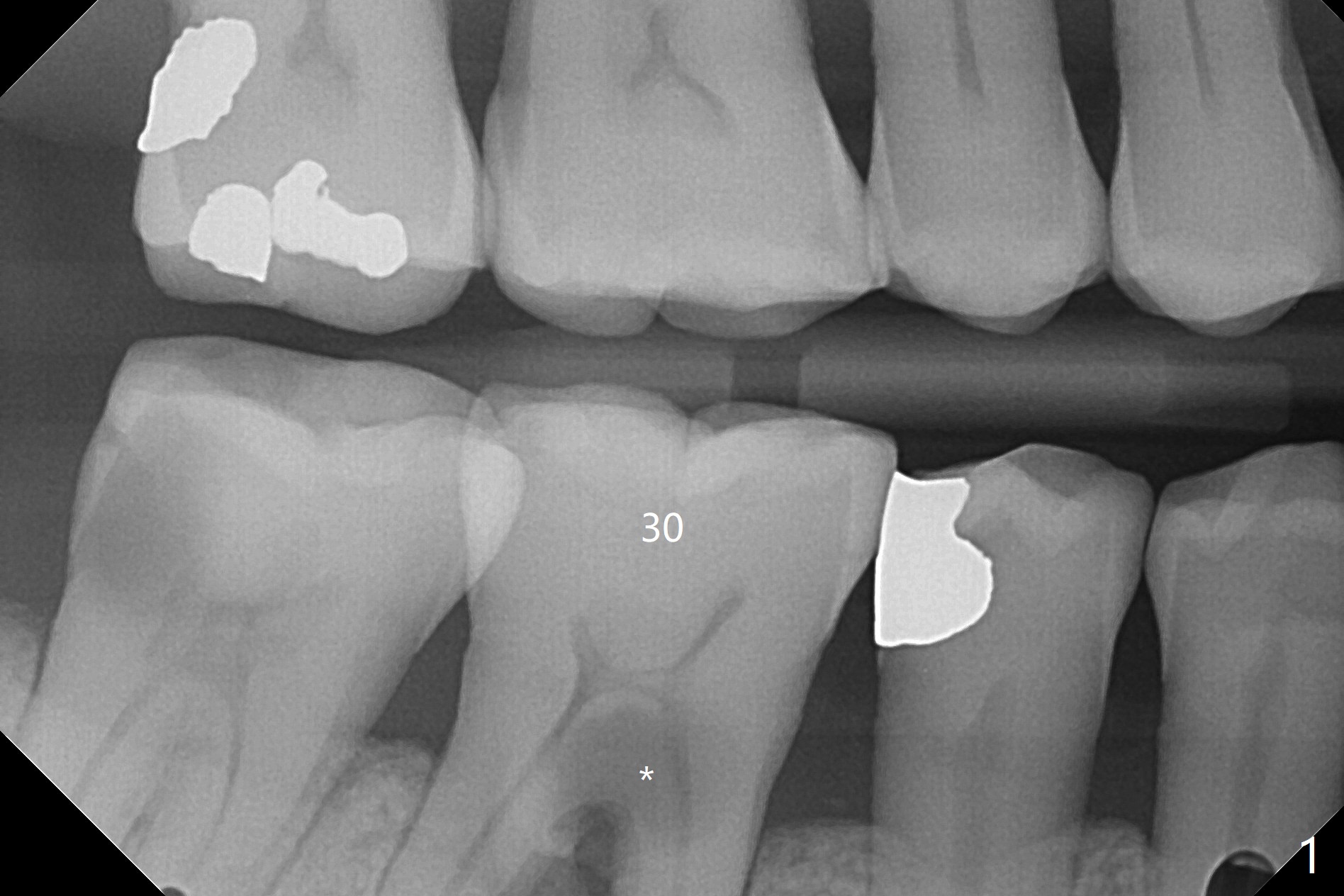
A 65-year-old man has nocturnal pain associated with #30 lingual furca caries and gingival recession (Fig.1,2). PRF (x2) and sticky bone will be used to repair the lingual soft and hard tissue defects. CT shows the submandibular fossa (Fig.3 <), dictating a short implant 10 mm, Fig.4). To place the implant in the septum (Fig.3 S), the coronal portion of the tooth is removed (Fig.5 black area) so that the roots are able to keep the osteotomy without deviation (Fig.6 red arrow). It is possible to place the implant in a trajectory mesiodistally (Fig.7 in fact after root extraction (arrows)). To prevent buccolingual deviation, a small implant (4 mm in diameter) is designed so that it will NOT touch the buccal (B in Fig.8) or lingual (L) plates. The bone density of the cortex and medulla is 2000 and 1400 units, respectively. To reduce the chance of implant fracture because of the narrow diameter in function, an implant with Titanium V will be used.
Prevent Molar Periimplantitis (Protocols,
Table)
No Deviation
Clindamycin
Shield
1st Implant Surgery
纠纷
Xin Wei,
DDS, PhD, MS 1st edition 06/13/2020, last revision
06/11/2021