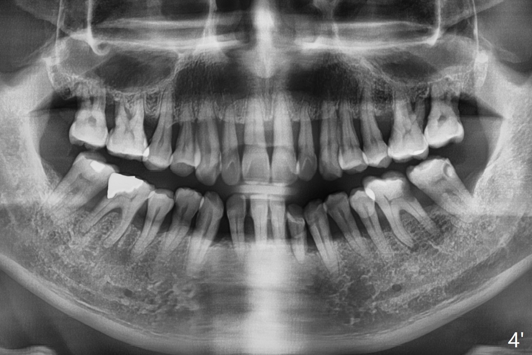
A 60-year-old man with large DO amalgam at #30 develops pain and mild swelling apparently apical to #29.  Both teeth (having fused PARL (periapical radiolucency) *) have mild percussion with the tooth #29 having higher mobility.  CBCT shows apical defect (Fig.3 >).  Three weeks earlier, the tooth #19 had much more severe infection (Fig.4') with a similar apical defect (Fig.4 >).  Combined with history of repeated infection associated with #30, the tooth is extracted.  Because of severe infection it is difficult to obtain sound anesthesia.

Fused PARL

Xin Wei, DDS, PhD, MS 1st edition 03/29/2018, last revision 03/31/2018