![]() |
![]() |
![]() |
![]() |
![]() |
![]() |
![]() |
![]() |
![]() |
![]() |
![]() |
![]() |
![]() |
Narrow Pontic
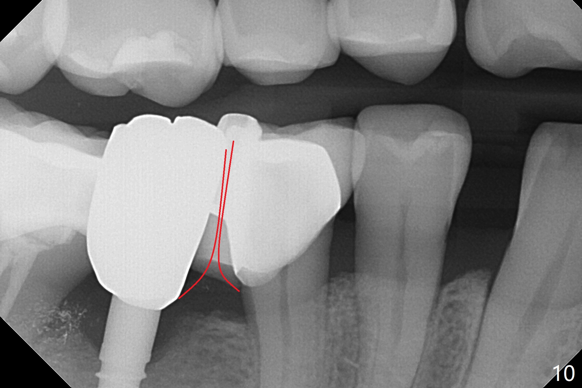
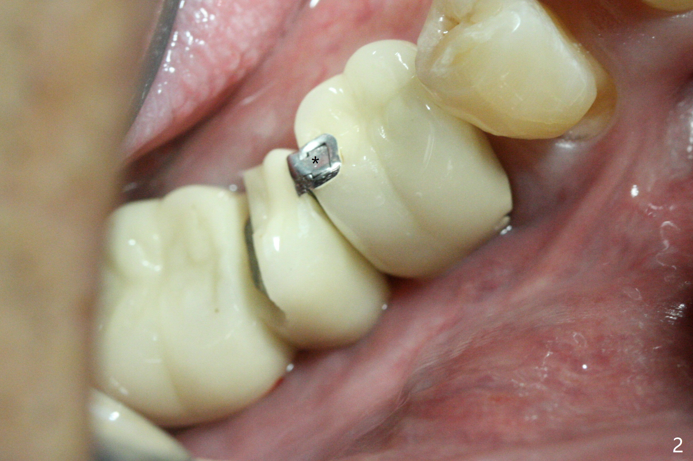
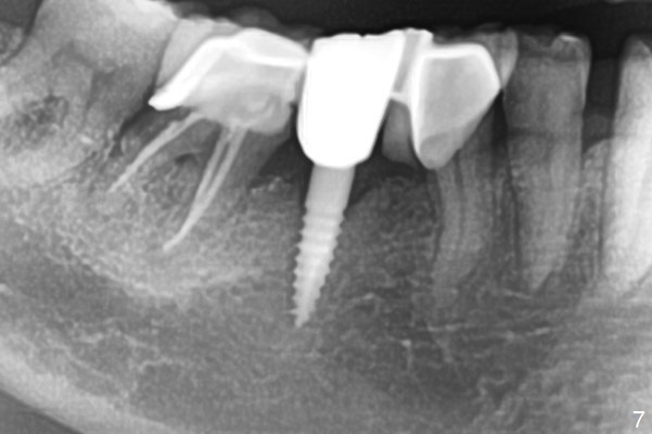
There is a space underneath the pontic at #30 (Fig.1 *), the basis for food impaction. After sectioning between the pontic and the posterior retainer, the pontic is removed from the anterior retainer with an attachment (Fig.2 *). The initial depth of osteotomy is 10 mm following ridge top reduction (Fig.3). A 3x10(4) mm 1-piece implant is placed with >50 Ncm; to reduce possibility of crown dislodgement from the implant, the retainers will be kept with modification of the proximal surfaces as shown by curved lines in Fig.4. Periodontal dressing is applied after suturing. There is no postop paresthesia. The periodontal dressing remains in place 2 weeks postop because of engagement into the attachment slot and undercuts (Fig.5). The patient returns 3 months postop; after minor contour adjustment (Fig.6 red curved line), impression is taken. The permanent crown is temporarily cemented (3.5 months postop) in case of food impaction due to the distal overhang of the tooth #29 (Fig.7). In fact the patient returns 4.5 months post cementation with right TMD (muscle relaxant prescribed) and food impaction, although there is no bone resorption (Fig.8,9). It appears that the crown at #29 needs to be redone, while porcelain will be added to the mesial surface of the one at #30 (Fig.10 red lines). In fact the crown at #30 is redone because of loose proximal contact with #31; there is no bone resorption 13 months post cementation (Fig.11). Bone resorption remains unnoticeable 28 months post cementation (Fig.12,13).
Return to Lower Molar Immediate Implant, Armaments Wife Xin Wei, DDS, PhD, MS 1st edition 01/26/2018, last revision 09/05/2020