![]() |
![]() |
![]() |
![]() |
Limited Crown Height
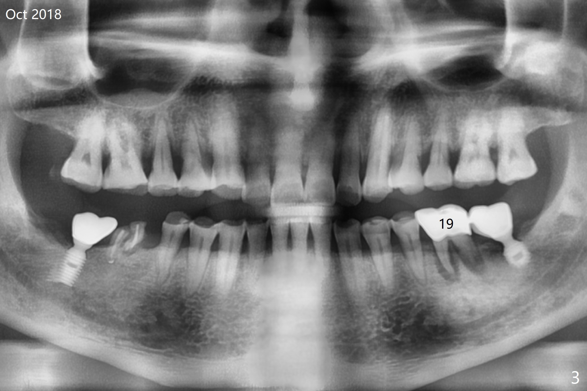
A 60-year-old man is a bruxer with severe occlusal wear (Fig.1-4). He requests implant to replace residual roots at #30 (Fig.4). A 5x11.5 mm implant will be placed. The abutment length should be limited because of limited crown height. An immediate provisional should be as low as possible.
Return to
Lower
Molar Immediate Implant,
Prevent Molar Periimplantitis (Protocols,
Table),
Trajectory,
Metronidazole
Xin Wei, DDS, PhD, MS 1st edition 10/10/2018, last revision 10/26/2018