![]() |
![]() |
![]() |
|
![]() |
![]() |
![]() |
![]() |
![]() |
![]() |
![]() |
|
Socket
Preservation with Septum M
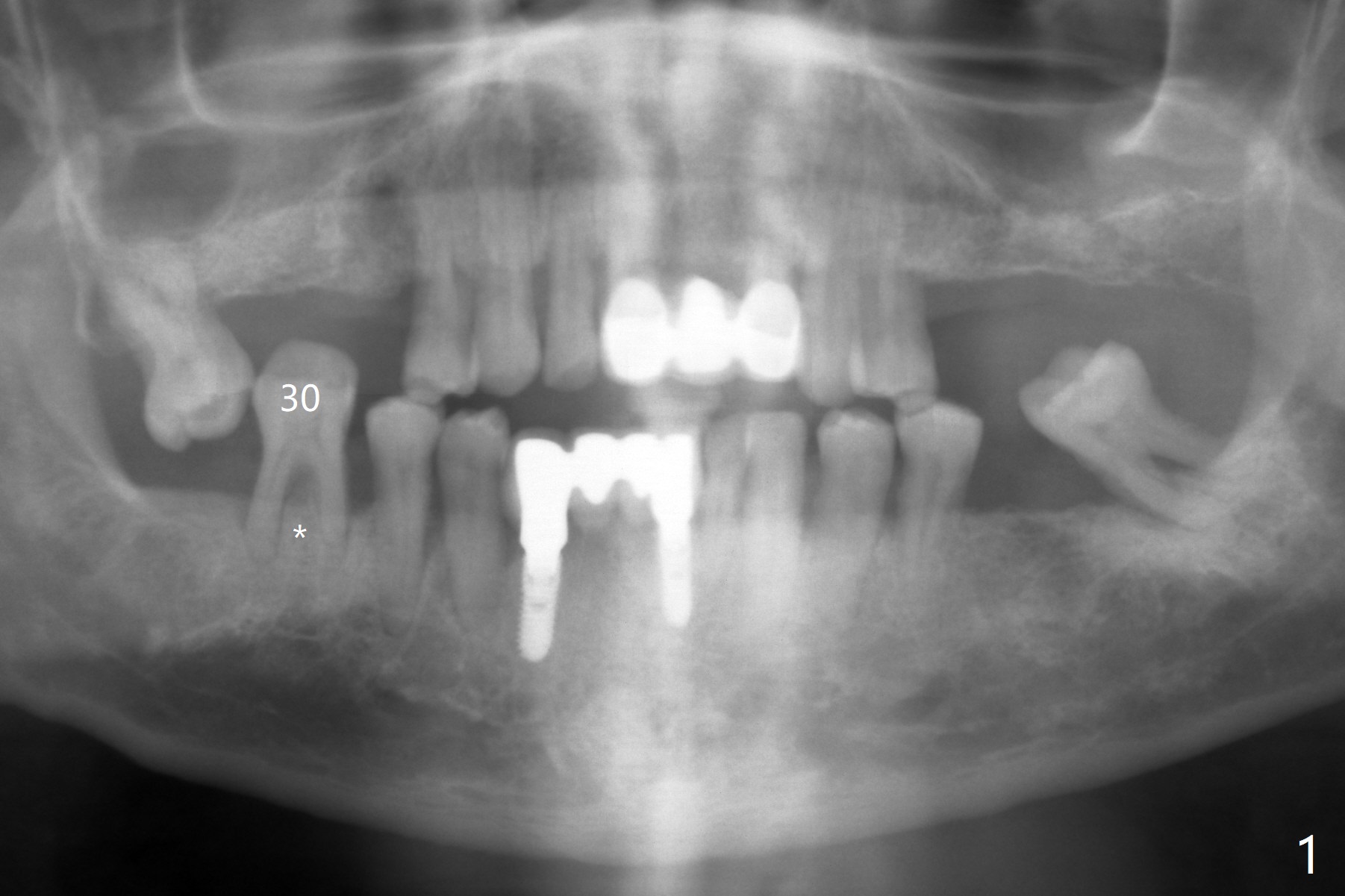
A 52-year-old man with poor dentition has concept of socket preservation when he wants extraction at #30. There is bone loss with the presence of the septum (Fig.1,2 *). Mixture of Vanilla graft and Osteogen is packed around the septum (Fig.3). With blood supply from the septum, the allograft should be more efficiently converted to the native bone than without the septum. The socket is closed with Osteogen plug and suture (Fig.4). In fact the bone height increases by 2.4 mm over the septum 11 months postop (Fig.5,6). In contrast there is apparently no bone regeneration in the socket of #28 four months postop without bone graft (Fig.7). Implant to be placed in the "empty" socket may fail. With bone graft, the ridge at #30 is higher than the surrounding bone 18 months postop (Fig.8 ^) with formation of the cortex on the top of the alveolus <). The average bone density is 1500 units. In contrast, without bone graft, the buccal plate at #28 is missing 11 months postop (Fig.9 >) with average bone density at 500 units. The implant at #28 should be long to engage to the apical native bone (Fig.10) with incision in case of need for bone graft. Sticky bone will be placed mesial to #29.
Lower Molar Immediate Implant, Trajectory No Deviation SP 28 手术 Xin Wei, DDS, PhD, MS 1st edition 02/11/2019, last revision 10/13/2020