![]() |
![]() |
|
![]() |
![]() |
![]() |
Thin Cortex and Low Bone Density
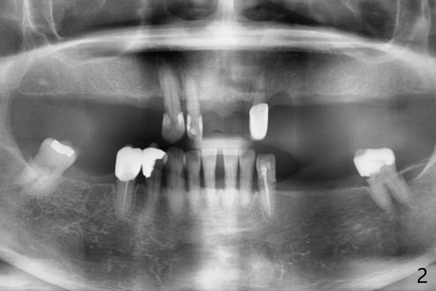
A 64-year-old woman with partial edentulism requests an implant for #30 after #29 crown temp bond cementation (Fig.1). The buccal, crestal and lingual cortex is equally thin (no deviation). The medulla is porous. The average bone density is 600 units. Ask the patient about osteoporosis treatment. A 4.5x10 mm implant with deep placement is going to have 2 mm bone buccal and lingual. Underprep is necessary (the last drill 3.5x10 mm). Due to metal scattering from amalgam from #28,29,31, a larger field view of CT is taken (Fig.2). Although the cancellous bone looks porous (Fig.3), the average bone density is 1000 units. The 2nd analysis shows that the ridge is narrower, allowing safe placement of a 4 mm implant (Fig.4,5). In spite of keratinized gingiva in the edentulous area, incision will be made to make sure the ridge top is being flattened by bone trimmer. If it is insufficient, use rotary instruments.
Return to
No Deviation
Surgery
Xin Wei,
DDS, PhD, MS 1st edition 06/04/2020, last revision
07/03/2020