![]() |
![]() |
![]() |
Implant Placement Depth
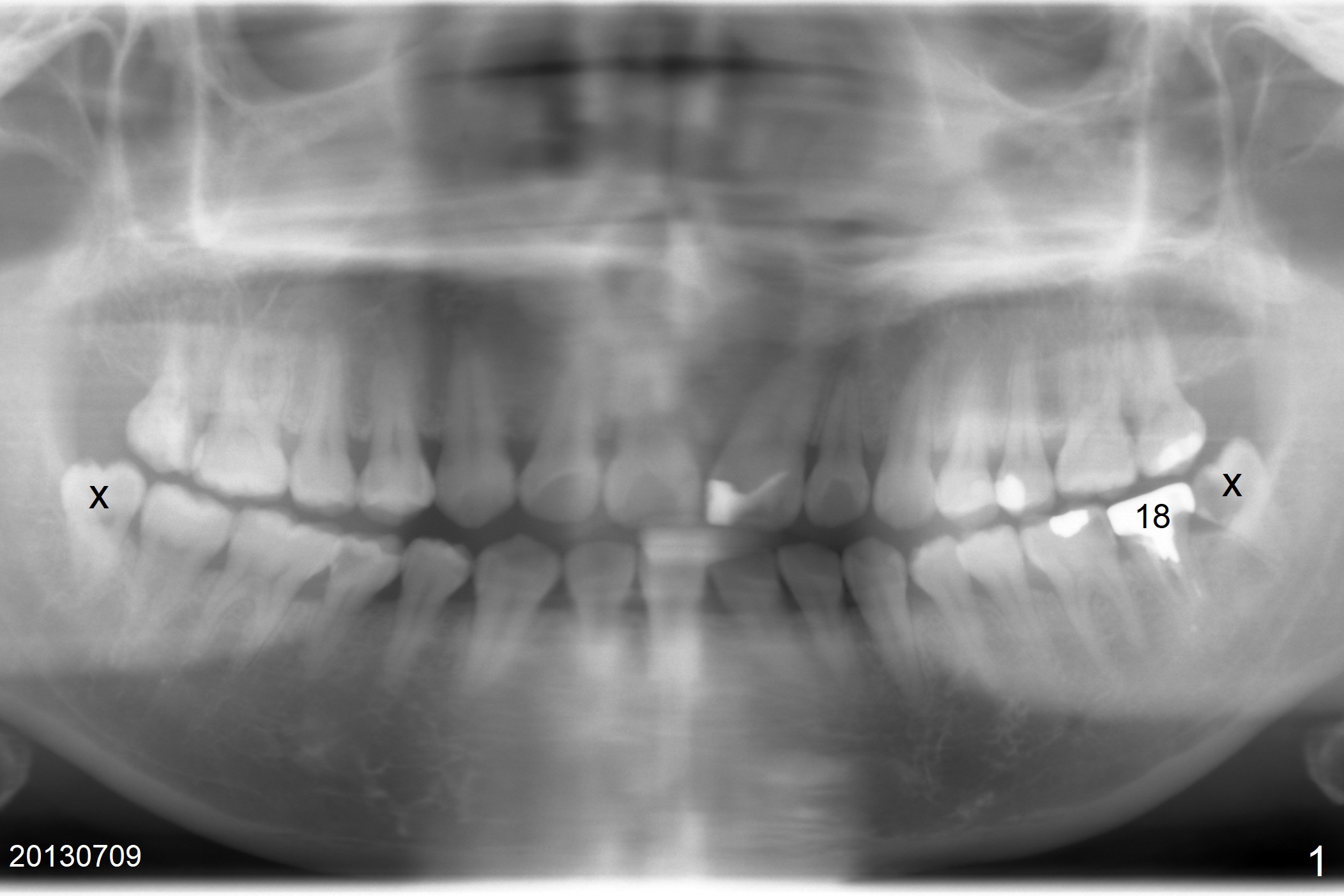
A 34-year-old woman has been our patient for >5 years. Since then, the teeth #17 and 32 have been extracted (Fig.1 x). The main issue is the metal crown at #18, which had occlusal perforation. The crown was recemented once. The mesiolingual margin is wide and subgingival. After redo, the Zirconia crown fractured once and finally dislodged (Fig.3), partially due to #15 supraeruption (Fig.2 arrow, trimmed during crown redo). Following extraction, use starter drill and 2 mm drill with 8 mm stopper to initiate osteotomy in the mesial slope of the socket (Fig.3 yellow line). The stopper should stop prematurely in the mesiocoronal aspect of the mesial slope, the depth should be a little longer than 5.6 mm (Fig.3 pink line). Insert a marked parallel pin for X-ray depth confirmation. Considering the opposing tooth supraeruption, a probably 5x10 mm SM implant will be placed deep with a cemented abutment with 1 mm cuff. But at first a temporary abutment will be used most likely. Make a provisional as wide as possible apically so that it is easy to take impression later on.
Return to
Lower
Molar Immediate Implant,
Prevent Molar Periimplantitis (Protocols,
Table),
Armaments,
Metronidazole
Xin Wei, DDS, PhD, MS 1st edition 06/17/2018, last revision 06/27/2018