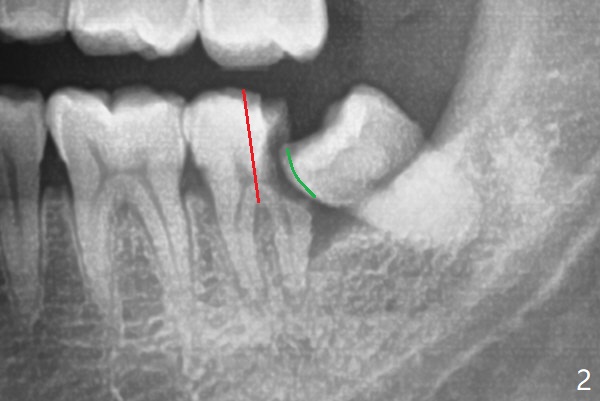
To extract #18, the tooth has to be sectioned (Fig.2 red).  The mesial portion is removed easy, while the distal one requires trimming the mesial surface of #17 (Fig.2 green). 

Distal Anchor     Last     Next

Xin Wei, DDS, PhD, MS 1st edition 03/06/2020, last revision 03/06/2020