![]() |
![]() |
![]() |
![]() |
![]() |
Bruxism
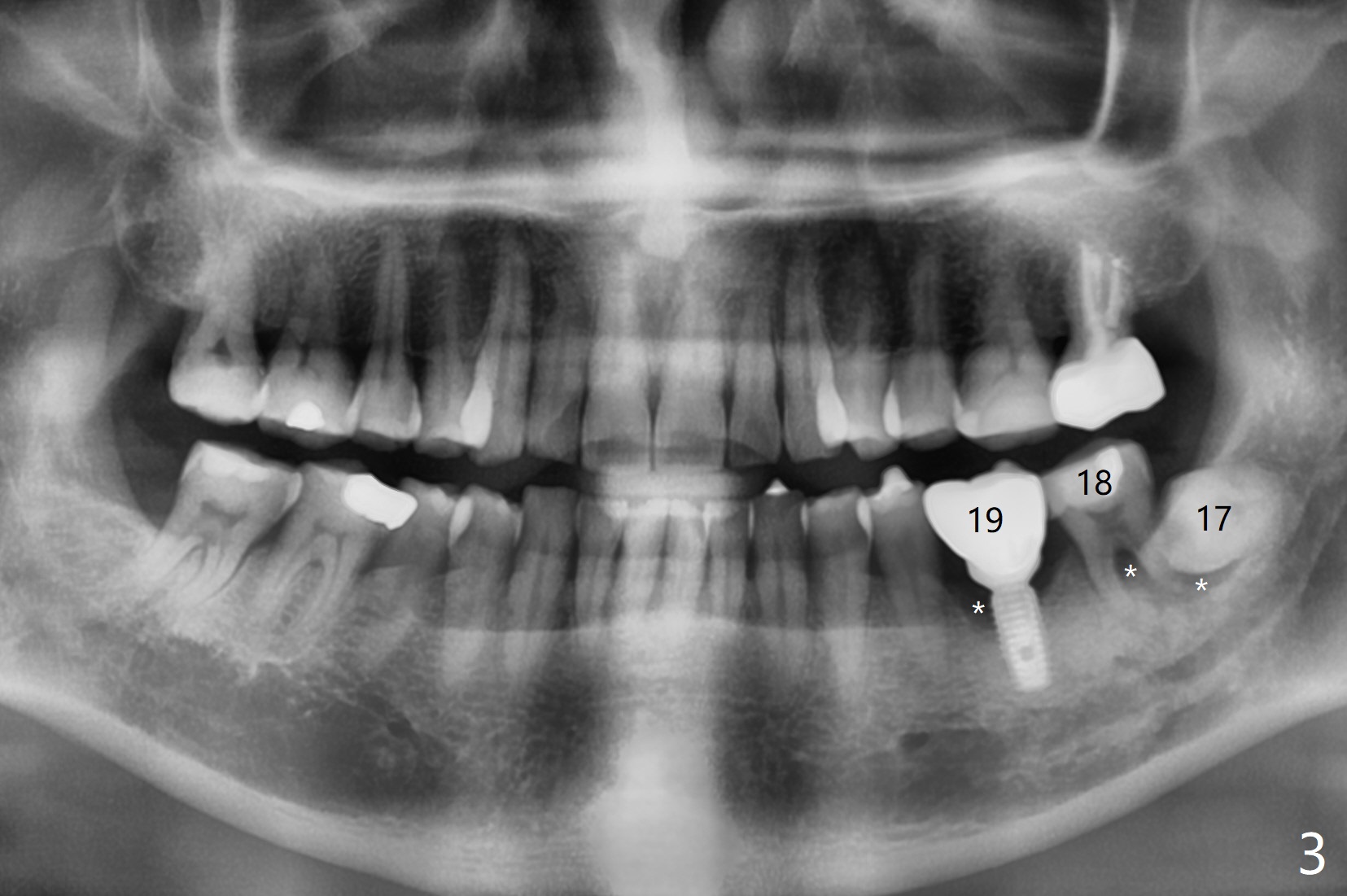
A 58-year-old man appears to have furca lesion or fracture the roots of the tooth #18 three years 5 months post cementation of #19 (Fig.1). In fact the abutment screw gets loose twice even with a buried screw driver. The implant at #18 will be a large tissue-level one (Fig.2). Use a thumb driver to place the implant initially through the metal sleeve for orientation. Although bone resorption mesial to #19 implant looks more severe in panoramic X-ray (Fig.3 *) and the sagittal view of CT (Fig.5) than PA (Fig.1), there is bone (less density) buccal (B) and lingual (Fig.5 *). Bone graft will be conducted at #19 if clinical exam confirms deep pocket the same time of #18 surgery. Distal radiolucency of #18 (Fig.3 *) makes it necessary to extract #17 simultaneously as well. Prepare Titanium brush.
Return to
Lower
Molar Immediate Implant,
Prevent Molar Periimplantitis (Protocols,
Table)
No Deviation
Clindamycin
Shield
Xin Wei, DDS, PhD, MS 1st edition
01/10/2020, last revision
04/14/2020