![]() |
![]() |
![]() |
![]() ![]() |
![]() |
![]() |
有惊无险-导板作用
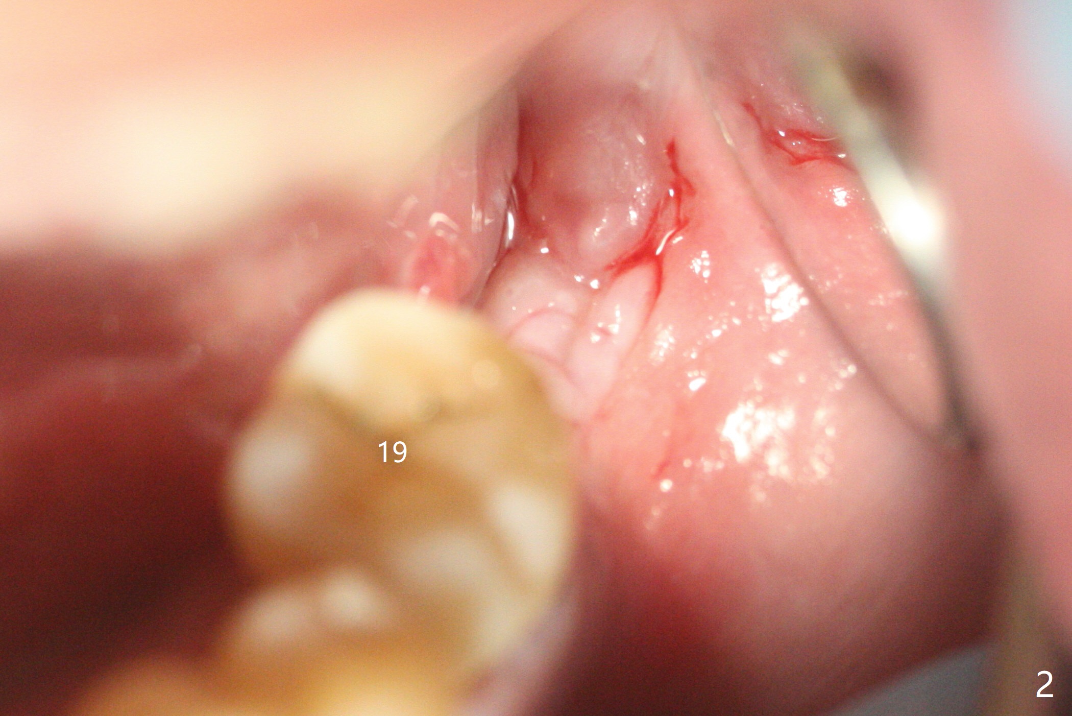
导板种植是否需要切开取决于牙槽嵴角化龈宽度,放置导板后,插入环形刀(图一),用手的压力(不要开手机)接触牙龈后,抽出环形刀,并且取出导板,检查环形标记是否累及颊侧粘膜(图二)。这个病例没有,所以没有切开,也没有保留角化龈(骨质硬,预计术后可以使用愈合基台)。在34毫克利多卡因17微克肾上腺素浸润(jinrun)麻醉下,完成钻洞(最后钻头3.5x10毫米),植体植入,拍摄CT却发现植体非常接近神经(图三,五),似乎钻洞向舌侧偏移(与设计(图四)对比),可能与没有远中牙齿固位有关。由于术中没有疼痛,估计没有直接损伤神经,放置愈合基台,在后者周围空间塞入骨粉(图六:*)。理想情景使用2.2x7.3毫米钻头后,拍摄CT,最后植入4.5或者5.0x7.3毫米植体(图五')。术后没有疼痛也没有麻木。
Return to
Protect
Graft
Torque 下齿槽神经
Xin Wei,
DDS, PhD, MS 1st edition 08/03/2021, last revision
08/04/2021