![]() |
![]() |
![]() |
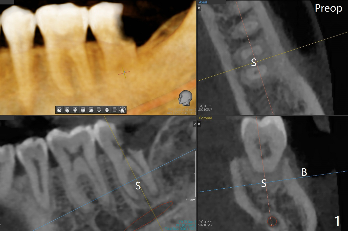
即种植体不必很长
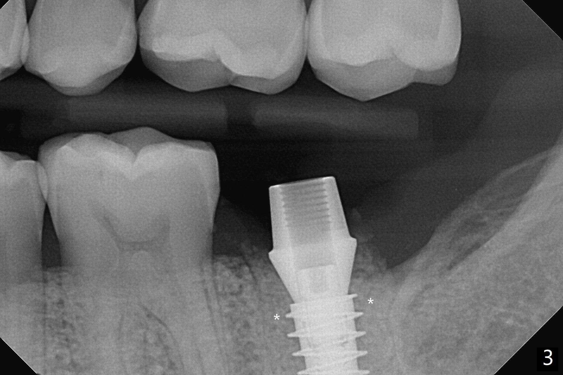
18号牙远中龈下龋齿,在导板指引下,使用4.0x8.5毫米钻头后,钻洞建立在中隔(图一:S)近中舌侧,5.0x9毫米植体似乎还没有超出牙槽窝轮廓(图二),已经取得35Ncm扭力。放置基台后,放入足够粘性骨粉(图三:*),然后制作临时牙冠,结合PRF,固定骨粉。由于植体没有接触牙槽嵴,那里骨质吸收将是轻微的,而骨质再生显著。
Return to
Prevent Molar Periimplantitis (Protocols,
Table)
Protect
Graft
Torque
Xin Wei,
DDS, PhD, MS 1st edition 06/21/2021, last revision
06/22/2021