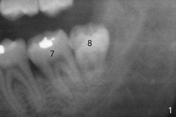
十三年后第二磨牙松动(图三),

磨牙间无骨     Last     Next

Xin Wei, DDS, PhD, MS 1st edition 03/27/2021, last revision 04/03/2021