![]() |
![]() |
![]() |
Semi Guided Surgery
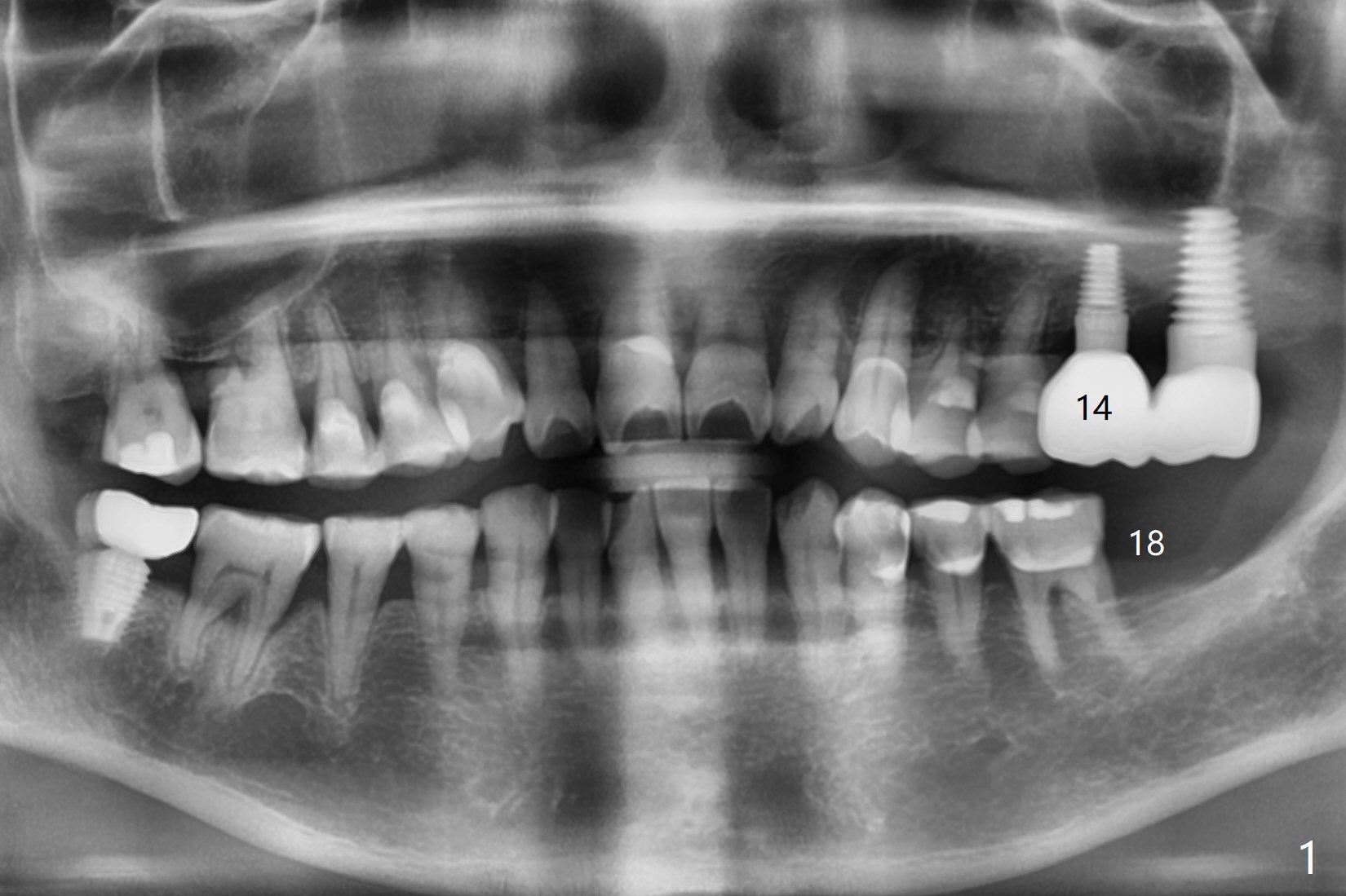
A 62-year-old woman returns for #18 implant with guide 3 months post #14 crown cemen-tation (Fig.1). The implant at #14 was placed free hand after guided osteo-tomy. It appears that its buccal plate is thin (Fig.2). Full guided surgery seems to be nece-ssary.
Since the bone density at #18 is low, under drilling is required (with guide). A 5x11 mm tissue-level implant will be inserted initially through the metal sleeve (Fig.3). Double check the trajectory in the second part of place-ment without the sleeve.
Return to
No Deviation
31
15
Xin Wei, DDS, PhD, MS 1st edition
02/27/2020, last revision
03/12/2020